Malignancy at the Gastro-Oesophageal Junction #
It has been shown that some cases of hiatus hernia are associated with motility disturbances of the pyloric sphincteric cylinder (Chap. 32). In most cases of malignancy at, or in the immediate vicinity of the gastro-oesophageal junction, we have also noted contraction of the pyloric sphincteric cylinder to greater or lesser degree. The malignancy involved either the gastric fornix or the lower oesophagus; in some cases it was difficult to determine (for a variety of reasons) whether the lesion was primarily gastric or primarily oesophageal.
The incidence of contracted pyloric sphincteric cylinder in cases of malignancy at the cardia has not been determined, but it appears if it occurs in the majority of cases. We have become aware of the association only recently; to the best of our knowledge it has not been described previously.
The following are examples of 11 cases which have been encountered:
Case Reports #
Case 35.1S.S., 67 year old male, presented with increasing dysphagia. Radiographic examination showed a constant, irregular filling defect of the lower 5.0 to 6.0 cm of the oesophagus, typical of carcinoma; it extended as far as the gastro-oesophageal junction, i.e. through the oesophageal hiatus in the diaphragm (Fig. 35.1D). The pyloric sphincteric cylinder showed a constant contraction, appearing to be "fixed" midway between maximum contraction and maximum dilatation, with absent cyclical activity (Fig. 35.1A-C). Most of the time the pyloric aperture contained barium, i.e. it was patent; at times it contained a single mucosal fold. At oesophagoscopy only the upper border of the carcinoma could be visualized; biopsy was unsuccessful. Repeat radiography a month later showed extension of the oesophageal lesion with only a trickle of barium entering the stomach.
![]() | |
![]() | |
![]() | |
![]() | |
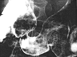
| Fig. 35.1. A-DCase S.S. A-C Constant contraction pyloric sphincteric cylinder with absent cyclical activity. D Irregular filling defect lower oesophagus extending through diaphragmatic hiatus, indicating carcinoma. | |
Case 35.2M.B., 59 year old female presented with dysphagia. Oesophagoscopy and biopsy revealed a poorly differentiated squamous cell carcinoma of the oesophagus at 26.0cm. Radiography confirmed the lesion, which appeared to extend to just above the cardia. There was constant contraction of the pyloric sphincteric cylinder, which appeared to be "fixed" midway between maximum contraction and relaxation, with absent cyclical activity; this caused the pyloric aperture to remain widely patent (Fig. 35.2). Laparotomy for staging the oesophageal carcinoma revealed metastatic lymphadenopathy at the coeliac axis; the stomach appeared normal, showing that the contraction of the sphincteric cylinder was of a functional nature.
![]() |
| Fig. 35.2. Case M.B. Double contrast examination. Constant contraction of pyloric sphincteric cylinder with absent cyclical activity. Pyloric aperture patent. |
Case 35.3 M.A., female aged 50 years, presented with dysphagia of one year's duration. Radiographic examination showed a carcinoma 5.0 cm in length in the lower oesophagus. There was marked contraction or spasm of the entire pyloric sphincteric cylinder, with a prominent pseudo-diverticulum on its greater curvature side (Fig. 35.3). Occasionally a minor degree of movement was seen; most of the time the appearance remained as indicated. Subsequent oesophagoscopies confirmed carcinomatous involvement of the lower third of the oesophagus.
![]() |
| Fig. 35.3. Case M.A. Constant, near maximal contraction of pyloric sphincteric cylinder with pseudo-diverticulum on greater curvature side. |
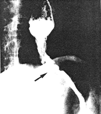
Case 35.4V.M., male aged 38 years. Radiographic examination showed constant irregularity and narrowing of the lower 4.0 cm of the oesophagus, extending through the hiatus to the gastro-oesophageal junction (Fig. 35.4). The diagnosis of carcinoma was confirmed by oesophagoscopy. Constant contraction of the pyloric sphincteric cylinder, similar to that of the previous cases, was present.
![]() |
| Fig. 35.4. Case V.M. Carcinoma lower oesophagus, extending through hiatus in diaphragm (arrow). |
Discussion #
The area with the highest prevalence of oesophageal carcinoma in the world is the Transkei region of South Africa (Sagar l989). The majority of patients first consult traditional healers, by whom they are treated, presenting at a hospital only when the disease has reached an advanced stage. At Tygerberg Hospital it is not unusual to see 3 or 4 new cases of advanced oesophageal carcinoma per week.
Common factors in the 11 cases mentioned here, are: (1) In all the malignant lesion involves the gastro-oesophageal junction and/or the region immediately above the junction, i.e. the intrahiatal part of the oesophagus. This is well seen in Case 35.4. (2) In all cases partial contraction (i.e. spasm) of the pyloric sphincteric cylinder was evident. Why the cylinder should show motility disturbances in these cases is not known. One possibility is that the malignant process may involve the vagus nerves in the oesophageal hiatus of the diaphragm. Keet and Heydenrych (l97l) showed that experimental stimulation of the vagi at this site caused contraction of the pyloric sphincteric cylinder (Chap. 32).
Permanent contraction or spasm of the pyloric sphincteric cylinder will impair trituration and gastric emptying of solids (Chap. 18). As the swallowing of solids becomes impossible in advanced oesophageal carcinoma, this should have theoretical implications only. Gastric emptying of fluids is not delayed by moderate contraction of the sphincteric cylinder (Chap. 13, 18), and fluids reaching the stomach through the oesophageal lesion should empty without undue delay. Moderate contraction of the cylinder "fixes" the pyloric aperture in the patent position (Chap. 20), so that increased duodenogastric reflux may be expected (Chap. 27).
References #
- Keet AD, Heydenrych JJ. Hiatus hernia, pyloric muscle hypertrophy and contracted pyloric segment in adults. Amer J Roentg Rad Ther Nucl Med l97l, 113, 217-228.
- Sagar PM. Aetiology of cancer of the oesophagus : geographical studies in the footsteps of Marco Polo and beyond. Gut l989, 30, 561-564.






