Nausea, Retching and Vomiting #
The mechanism of vomiting in mammals is complex and in spite of experimental studies some aspects are still not fully understood. It is usually accepted that the vomiting sequence consists of 3 successive phases: nausea initially, followed by retching, often leading to forcible expulsion of gastric contents through the mouth, i.e. ejection or vomiting. During these stages a co-ordinated sequence of movements occurs, involving, amongst others, the upper small bowel, stomach, oesophagus, diaphragm, voluntary abdominal muscles and glottis.
The complex movements of the ejection phase occur with extreme rapidity. Some features visible during radiographic investigation of this phase have been described by Lumsden and Holden (l969); as these involve the proximal stomach, the gastro- oesophageal junction, oesophagus and laryngo-pharynx, the details fall outside the scope of the present investigation.
Nausea #
During radiological examinations Barclay (l936) noted absence of gastric peristalsis in cases of nausea, as well as sagging of the lowermost part of the greater curvature which he attributed to loss of gastric tone. Lumsden and Holden (l969) described a similar, sudden descent of the greater curvature in a number of patients with nausea; they had no radiographic record of the occurrence.
During routine barium studies in the erect position, one of our patients would occasionally complain of nausea after having swallowed the first few mouthfuls of the suspension. Under these circumstances the following was seen: the lower part of the greater curvature sagged, causing an increase in the diameter of the distal part of the stomach, indicating loss of tone (Chap. 19). Simultaneously peristaltic contractions in the body of the stomach, cyclical contractions of the pyloric sphincteric cylinder and gastric emptying ceased. The appearance of the stomach was similar to that seen after administration of anticholinergic agents. The following is an example of what is usually observed in cases of nausea:
Case Report #
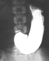
Case 26.1. G.C., male aged 24 years, was referred for barium study because of vague upper gastrointestinal symptoms. Having swallowed the first 3 mouthfuls of barium, the patient complained of feeling nauseous; there was no retching but he was unable to continue drinking. Initially the stomach appeared to have a normal tone, but the greater curvature sagged, moderate gastric dilatation occurred and peristaltic activity and cyclical contractions of the pyloric sphincteric cylinder ceased. A trickle of barium had entered the duodenal bulb but no further gastric emptying occurred (Fig. 26.1). He was advised to sit down. After 15 minutes the nausea disappeared and the examination could be resumed. Gastric tone, peristalsis, sphincteric cylinder activity and emptying became normal; no organic lesion was detected.
![]() |
| Fig. 26.1. Case G.C. Moderate dilatation of stomach, sagging of greater curvature, and absence of peristalsis and cyclical activity of pyloric sphincteric cylinder |
According to Monges et al. (l974) the first electromyographic phenomena of nausea are the disappearance of spiking activity in the stomach and small intestine, and the slowing, decrease in amplitude and disturbance in propagation of the basal electrical rhythm (BER). These events may occur before the patient experiences nausea.
You et al. (l980) recorded gastric myoelectric activity in control subjects and in a group of patients with unexplained nausea, epigastric bloating and vomiting; the technique entailed the use of a peroral suction electrode. As no mention was made of actual retching or vomiting during the investigations, it would appear that recordings were obtained during the phase of nausea. One of the electrodes was attached to the gastric mucosa 1.0 cm orally to the pyloric ring, and another 3.0 cm orally to the ring, i.e. within the confines of the pyloric sphincteric cylinder (others were attached further orally, and 2 were located in the duodenum). In contrast to the normal, regular pacesetter potential (PP) with a frequency of 3 to 4 cycles per minute, all 9 patients showed abnormal "antral" myoelectric activity, characterized by tachygastria or tachyarrhythmia and propagation of the PP in either the orad or aborad direction. Although all 9 patients with nausea, bloating and vomiting studied by You et al. (l980) had antral arrhythmias, Stoddard et al. (l98l) described 5 patients with antral arrhythmia without any gastrointestinal symptoms at all. In their view the association between antral arrhythmia and disturbed gastric motility remained unclear, although it was possible that such arrhythmia might be associated with delay in gastric emptying.
Hamilton et al. (l986) studied the BER in 20 normal control subjects and in 5 patients with nausea and vomiting of longer than 6 months' duration. All patients had delayed gastric emptying as diagnosed by radionuclide scanning techniques, and 4 had previously been diagnosed as diabetic gastroparesis. The BER was recorded from the abdominal surface by means of a cutaneous electrode, and was shown to be similar in form and frequency to recordings obtained by mucosal suction electrodes. In one normal subject and in 4 of the 5 patients, periods occurred in which BER rates exceeded 5 per minute. In a normal subject the period of tachygastria lasted only 2.5 minutes and the subject remained asymptomatic. In patients, tachygastria lasted for periods of 4 minutes and was associated with nausea; the nausea resolved when the fast rate abated. The fifth patient was asymptomatic during the recording and had no tachygastria. Again it appeared if the recordings were done during periods of nausea and not while retching or vomiting occurred.
Using cutaneous electrodes, Geldof et al. (l986) recorded gastric myoelectrical behaviour by electrogastrography in 48 patients with prolonged, unexplained nausea and vomiting, and in 52 normal control subjects, in the fasting and post-prandial states. In 30 of the 48 patients gastric emptying studies were done, using a radiolabelled solid meal. No mention was made of actual retching or vomiting during the investigations, and it seems if the recordings were done during the phase of nausea. The patient group could be divided into 2 subgroups: in 25 patients all electrogastrographic parameters were identical to the control group, while in 23 abnormal myoelectrical activity was found, characterised by instability of the gastric pacemaker frequency, tachygastrias in both the fasting and postprandial states, and absence of the normal increase in amplitude in the postprandial tracing. This last characteristic was correlated with delayed gastric emptying of solids. Not all patients displayed all three abnormal features; tachygastria lasting between 3 and 14 minutes for instance, was seen in 8 of the patients. It is generally assumed that no motor activity is present during a tachygastria (Telander et al l978; You et al. l980; You and Chey l984; Geldof et al. l986), which is generated in an "antral" ectopic focus and which overrides the normal gastric pacemaker (Telander et al. l978). It was concluded that in a heterogeneous group of patients with unexplained nausea and vomiting, a subgroup could be discerned with abnormal myoelectrical activity which was related to the symptoms.
Kerlin (l989) studied the contractile activity of the stomach and small intestine in 20 patients with longstanding, idiopathic nausea and vomiting, in the fasting and postprandial states. Records were obtained by a low compliance infusion system from the gastric "antrum" (four sites), the duodenum and the jejunum; it appears if the studies were done during the stage of nausea. Only two patients had contractile abnormalities during fasting. After a solid-liquid test meal, the contractility of the gastric "antrum" was significantly impaired in patients as compared with normal controls. It was concluded that postprandial "antral" hypomotility was a major abnormality in patients with unexplained nausea and vomiting.
Retching #
The retching phase is characterized by a series of violent spasmodic abdomino-thoracic contractions with the glottis closed. During this time the inspiratory movements of the chest wall and diaphragm are opposed by the expiratory contractions of the abdominal musculature. At the same time movements of the stomach and its contents take place. Whereas a patient will complain of disagreeable sensations during nausea, speech is not possible during retching. The characteristic movements furnish a ready diagnostic sign of the retching phase.
During gastroscopic observations retching usually interferes to such an extent with the examination that it is difficult to observe the motor behaviour of the stomach. Schindler (l937) studied retching on two occasions during gastroscopy and noted that longitudinal folds appeared in the previously smooth "antrum", thickened quickly, came together and completely closed the "antrum". (Comment: The description tallies with contraction of the pyloric sphincteric cylinder during which the folds become longitudinal, so that only longitudinal folds are seen in the fully contracted cylinder) (Chap. 13).
Torgersen (l942) stated that the canalis egestorius (pyloric sphincteric cylinder) contracted during vomiting, and referred to previous work by Groedel who had illustrated the contraction of the two loops and the intervening musculature during vomiting.
Lumsden and Holden (l969) gave a detailed description of the movements of the stomach and duodenum in vomiting as seen in 3 cases during diagnostic radiological investigations. They did not refer to, and did not base their findings on, the concept of the pyloric sphincteric cylinder. In their first case, during retching, a constriction was described and illustrated in the proximal part of the "antrum". The greater curvature in this region showed a deep notch and was closely approximated to the lesser curvature. (Comment: From the description and illustration it is clear that the constriction and deep notch correspond to contraction of the left pyloric loop, with a collection of barium in the pyloric sphincteric cylinder on its aboral side). On an exposure taken immediately afterwards, the prepyloric region had hardly changed. (Comment: In the illustration a collection of barium is seen in the sphincteric cylinder between the right and left pyloric loops). At this stage the body of the stomach had also contracted and barium was being expelled through the cardia. In their second case, during retching, there was some barium in the "antrum", separated from the main mass of barium in the stomach by an annular constriction involving both curvatures of the stomach and superficially resembling the pylorus. (Comment: The appearance in the illustration is identical to contraction of the left pyloric loop) (Chap. 13).
In their third case vomiting occurred suddenly, a radiograph being taken at that exact moment. Some barium was trapped between the contracted "proximal part of the antrum" and the closed pylorus. (Comment: The trapped barium as illustrated appears to be in the pyloric sphincteric cylinder between the right and left pyloric loops).
The following are examples of cases we observed during retching:
Case Reports #
Case 26.2. M.J., female aged 29 years. Having swallowed 2 mouthfuls of barium, the patient suddenly started to retch. A film exposed at that moment showed a tightly contracted pyloric sphincteric cylinder containing longitudinal mucosal folds, with folds on its oral side bulging into the gas-distended gastric lumen (Fig. 26.2). The appearance is identical to that seen during a stage of the normal contraction of the pyloric sphincteric cylinder (Chap. 13). Afterwards retching stopped, more barium was swallowed and cyclical contractions of the cylinder became normal. No lesion was detected in the upper gastrointestinal tract.
![]() |
| Fig. 26.2. Case M.J. Tightly contracted pyloric sphincteric cylinder, containing longitudinal mucosal folds (straight arrow). Retropelled folds bulging into gastric lumen (curved arrows) |
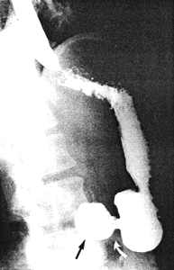
Case 26.3. E.W., female aged 34 years. Having swallowed 4 mouthfuls of barium in the erect position, the patient suddenly started to retch; barium had reached the pyloric aperture but had not traversed it, while some was still in the oesophagus. As soon as retching started a film was exposed. This showed contraction of the left pyloric loop with a "round" collection of barium on its aboral side, i.e. in the sphincteric cylinder (Fig. 26.3A). A segmental or systolic contraction of this collection followed, terminating in a tightly contracted cylinder containing a longitudinal mucosal fold (Fig. 26.3B); this corresponded to maximal contraction of the sphincteric cylinder. During contraction barium contained in the cylinder was propagated not into the duodenum, but in a retrograde way into the more proximal part of the stomach. When retching ceased, normal cyclical contractions of the pyloric sphincteric cylinder and gastric emptying commenced. No organic lesion was found.
A![]() | B![]() |
| Fig. 26.3. A Case E.W. Contraction of left pyloric loop (curved arrow). Round collection of barium in partially contracted sphincteric cylinder (straight arrow). B Case E.W. Maximally contracted sphincteric cylinder containing a longitudinal mucosal fold (arrow). | |
Vomiting #
Lang et al. (l986) examined the gastrointestinal motor correlates of vomiting in canines by means of implanted extramural strain gauge transducers. One of the motor responses was a retrograde peristaltic contraction commencing in the middle of the small intestine and moving in an orad direction through the small intestine to the gastric "antrum". Ejection did not occur after a consistent delay following the "antral retrograde peristaltic contraction", i.e. there was no evidence that the antral contraction correlated with vomitus ejection. This was consistent with previous findings that the stomach did not provide the propulsive force for vomitus ejection; it was more likely that the propulsive force was provided by contractions of the abdominal or respiratory muscles. The small intestinal retrograde peristaltic contraction, leading to gastric "antral" contractions, was probably mediated peripherally by muscarinic cholinergic receptors as it was selectively blocked by atropine (which does not readily cross the blood-brain barrier).
During routine barium studies we observed the act of ejection in 5 or 6 patients. Because of violent movements it was usually not possible to obtain satisfactory radiographs. The following is a representative case:
Case Report #
Case 26.4. S.S., female aged 42 years. After swallowing two mouthfuls of barium, it accummulated in the pyloric region. Incomplete contractions of the pyloric sphincteric cylinder, not propagating the barium into the duodenum, soon started. Almost immediately the patient felt nauseous and retching commenced. At this stage the pyloric sphincteric cylinder contracted maximally, giving rise to an appearance sometimes called "amputation of the antrum". Immediately afterwards a long spastic contraction occurred in the body of the stomach, associated with ejection. Two contracted areas were then present in the stomach, namely the contracted sphincteric cylinder, and a larger region of contraction of the body of the stomach. At that stage most of the remaining barium was in the upper part of the stomach, above the contracted regions. Subsequent clinical examination revealed no obvious cause for the vomiting.
Discussion #
With the exception of Torgersen (l942), none of the authors quoted above based their descriptions of nausea, retching and vomiting on the muscular anatomy of the stomach as previously determined by Cunningham (l906), Forssell (l913) and Torgersen himself.
Our radiographic observations show that nausea is characterized by loss of gastric tone, absence of peristalsis and cyclical contractions of the pyloric sphincteric cylinder, and lack of emptying of fluid barium in the erect position. A number of authors described the electromyographic phenomena recorded during nausea (Monges et al. l974; You et al. l980, l984; Hamilton et al. l986; Geldof et al. l986). It is probable that some of the electrical arrhythmias may be associated with the appearances seen at radiography. Pressure studies of Kerlin (l989) confirmed that postprandial "antral" hypomotility was a major factor in unexplained nausea.
The representative cases described here show that retching is associated with contraction of the pyloric sphincteric cylinder; this is well seen during radiographic studies. Although Lumsden and Holden (l969) did not base the morphology in their cases on the anatomy as described by Torgersen (l942), accompanying illustrations leave little doubt that the pyloric sphincteric cylinder was contracted in all. Wood and Astley (l952) and others (Chap. 20) described a temporary narrowing in the pyloric region closely resembling infantile hypertrophic pyloric stenosis, in vomiting infants. Judging by the descriptions it involved the pyloric sphincteric cylinder. The endoscopic appearances described by Schindler (l937) also tally with contraction of the sphincteric cylinder.
Radiography shows that the cylinder is contracted during ejection. By means of strain gauge transducers in canines Lang et al. (l986) demonstrated an "antral retrograde peristaltic contraction", which appears to tally with contraction of the cylinder; this contraction, however, did not provide the propulsive force for ejection. Radiographically a second, longer area of contraction was seen in the upper part of the stomach during ejection, in addition to the contraction of the cylinder in one of our cases (Case 26.4).
References #
- Barclay AE. The Digestive Tract. Cambridge University Press, London l936, p 268.
- Cunningham DJ. The varying form of the stomach in man and the anthropoid ape. Trans Roy Soc Edin l906, 45, 9-47.
- Forssell G, Über die Beziehung der Röntgenbilder des menschlichen Magens zu seinem anatomischen Bau. Fortschr Geb Röntgenstr l913, Suppl 30, l-265.
- Geldof H, Van der Schee EJ, Van Blankenstein M, et al. Electrogastrographic study of gastric myoelectrical activity in patients with unexplained nausea and vomiting. Gut 1986, 27, 799-808.
- Hamilton JW, Ballahsene BE, Reichelderfer M, et al. Human electrogastrograms: comparison of surface and mucosal recordings. Dig Dis Sci l986, 31, 33-39.
- Kerlin P. Postprandial antral hypomotility in patients with idopathic nausea and vomiting. Gut l989, 30, 54-58.
- Lang IM, Sarna SK, Condon RE. Gastrointestinal motor correlates of vomiting in the dog: quantification and characterization as an independent phenomenon. Gastroenterology l986, 90, 40-47.
- Lumsden K, Holden WS. The act of vomiting in man. Gut l969, l0, 173-179.
- Monges H, Salducci J, Naudy B. Electrical activity of the gastrointestinal tract in dog during vomiting. In: Gastrointestinal Motility, edit Daniel EE. Mitchell Press, Vancouver l974, pp 479-488.
- Schindler R. Gastroscopy. University of Chicago Press, Chicago l937, p 145.
- Stoddard CJ, Smallwood RH, Duthie HL. Electrical arrhythmias in the human stomach. Gut 1981, 22, 705-712.
- Telander RL, Morgan KG, Kreulen DL, et al. Human gastric atony with tachygastria and gastric retention. Gastroenterology l978, 75, 497- 501.
- Torgersen J. The muscular build and movements of the stomach and duodenal bulb. Acta Rad l942, Suppl 45, pp 38, 39.
- Wood BSB, Astley R. Vomiting of uncertain origin in young infants. Arch Dis Child l952, 27, 562-568.
- You CH, Lee KY, Chey WY, et al. Electrogastrographic study of patients with unexplained nausea, bloating and vomiting. Gastroenterology l980, 79, 311-314.
- You CH, Chey WY. Study of electromechanical activity of the stomach in humans and dogs with particular attention to tachygastria. Gastroenterology l984, 86, 1460-1468.



