Gastro-oesophageal Reflux Disease (GERD) and the Pyloric Sphincteric Cylinder #
Hiatus Hernia in Infants #
Roviralta (l951) described 3 cases of partial thoracic stomach in infants associated with hypertrophic pyloric stenosis (IHPS), and called the combination the phreno-pyloric syndrome. It was believed that raised intragastric pressure secondary to the obstruction at the pylorus forced the stomach into the chest. Among 115 children with a partial thoracic stomach, Astley and Carré (l954) encountered 5 who also had hypertrophic pyloric stenosis, while another 3 had "infantile pylorospasm". The pylorospasm in all 3 cases was described as an inconstant narrowing of the pyloric "antrum", (Chap. 20), the radiographic appearance simulating IHPS to such a degree that Astley (l956) later called them cases of pseudo-hypertrophic pyloric stenosis. The symptomatology suggested that initially there was gastroesophageal reflux due to a partial thoracic stomach, followed by the superimposition of hypertrophic stenosis a few weeks later. Thus vomiting commenced soon after birth, and at the age of 2 to 3 weeks the symptoms and signs of hypertrophic stenosis, such as projectile vomiting, visible peristalsis and a palpable mass were superadded.
Forshall (l955) described the findings in 93 infants with gastroesophageal reflux and hiatus hernia. In 58 cases the cardia was incompetent but situated below the diaphragm. Eight of these required Ramstedt's operation for IHPS, while others had visible gastric peristalsis with temporary palpable masses in the pyloric region.
Astley (l956) stated that the association of hiatus hernia and hypertrophic pyloric stenosis was not a very common combination, but that the frequency was enough to suggest something more than a chance occurrence. He found no ready explanation for the association of these two conditions.
Stewart (l960), in discussing a paper by Herrington (l960), was impressed by the frequency of pyloric hypertrophy in cases of hiatus hernia; in many instances it resembled infantile hypertrophic pyloric stenosis.
Johnston (l960), in a series of 76 cases of hiatus hernia in childhood, found that 8 (10.5 percent) also had hypertrophic pyloric stenosis. Some of those without hypertrophic stenosis showed visible gastric peristalsis with forcible or even projectile vomiting, which to him was an indication of a gastric emptying disorder, giving rise to functional pyloric obstruction. It was reasoned that this raised the intragastric pressure, thus forcing the cardia into the chest.
Bowen (l988) pointed out that criteria for diagnosing hiatus hernia in infants remained unsettled, but that it was generally agreed that the retrograde passage of material from the stomach into the oesophagus was the crux of the matter, regardless of whether or not a hiatal hernia could be demonstrated convincingly.
In a number of infants we have noted a combination of hiatus hernia and IHPS; however, no systematic study was done in infants to determine in which percentage of hiatus hernia cases IHPS also occurred. The following is an example of one of our cases:
Case Reports
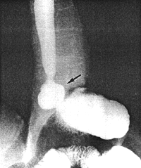
Case 32.1. E.B., 5 weeks old female infant, was admitted with a history of vomiting after feeds and recurrent bilateral pneumonia. Radiographic examination showed a severe, constant narrowing of the pyloric sphincteric cylinder, with a "string sign" typical of IHPS (Fig. 32.1A). The gastro-oesophageal junction was patulous with free and persistent gastro-oesophageal reflux, diagnosed radiographically as a sliding hiatus hernia (Fig. 32.1B). Some aspiration of refluxed barium occurred. At operation the next day a pyloric "olive" measuring approximately 2.3 cm x 0.8 cm, typical of IHPS, was found. Ramstedt pyloromyotomy was done; post-operatively vomiting stopped and the patient made an uneventful recovery.
A |
| Fig. 32.1 A,B. Case E.B. A Constant narrowing of pyloric sphincteric cylinder with string sign (arrows), typical of idiopathic hypertrophic pyloric stenosis. B Patulous gastro-oesophageal junction with free reflux (arrow) |
B |
Hiatus Hernia in Adults #
Wieser et al. (l963), describing the radiographic appearances of adult hypertrophic pyloric stenosis (AHPS), noted that a fifth of their 44 patients with pyloric hypertrophy also had hiatus hernia (Chap. 24).
Burge (l964) found a high incidence of "pyloric channel disease" in cases of hiatus hernia. The pyloric pathology in these cases consisted of pyloric and prepyloric muscle hypertrophy, mucosal stenosis and external scarring, in varying combinations. Some had previous ulcers in the immediate vicinity of the pyloric ring. Of 5 cases operated on for hiatus hernia, 2 had pyloric mucosal stenosis and 3 stenosis of the pyloric ring with external scarring (presumably due to previous ulceration.) One of these cases also had considerable prepyloric muscular hypertrophy.
Burge et al. (l966) found that pyloric channel disease was more frequently associated with symptomatic hiatus hernia than duodenal ulceration. It was stated that this benign disease at the pylorus had previously frequently been overlooked, both during the radiological examination and at operation. The pylorus and duodenum were studied in 44 consecutive cases of hiatus hernia subjected to operation. Concomitant duodenal ulceration was present in 22 and pyloric channel disease in 34. (The apparent discrepancy was due to the frequent association of duodenal ulceration and pyloric channel disease in the same patient.) It was reiterated that pyloric channel disease included mucosal stenosis, gastritis, pyloric and prepyloric muscle hypertrophy, and scarring. It is clear that Burge (l964) and Burge et al. (l966) described pathological changes in the pylorus not limited to muscular hypertrophy, and presumably due to previous ulceration in many of the cases. However, pyloric channel disease also occurred without evidence of ulceration, and in those cases there was not only pyloric ring change but also a definite prepyloric component, as shown by a contracted and deformed prepyloric region on radiography, and by muscle hypertrophy at operation. In all these cases a long history of duodenal or pyloric disease almost invariably preceded the symptoms of hiatus hernia. Burge (l964) and Burge et al. (l966) did not refer to the findings of Cunningham (1906) and Torgersen (l942), and it appears that few of their cases of pyloric channel disease would fit into the category of muscular hypertrophy of the pyloric sphincteric cylinder.
Radiographic Studies #
Patients and Methods #
In a previous study of 134 consecutive adult cases of hiatus hernia, we noted a contracted pyloric region, conforming to contraction of the pyloric sphincteric cylinder, in l9 (Table 32.1) (Keet and Heydenrych l97l). Strict criteria were adhered to in the radiographic diagnosis of hiatus hernia. A sliding hernia was only diagnosed if it could be demonstrated from below the diaphragm, and if it is was associated with free and persistent gastro-oesophageal reflux in the Trendelenburg position. In order to achieve this, the patient was instructed to swallow 6 to 7 mouthfuls of a commercial barium suspension, followed by a swallow of water in the erect position. This served to fill the stomach with contrast medium, while the water cleared the oesophagus. The patient was then placed in the Trendelenburg position, and various manoeuvres were done in an effort to demonstrate a sliding hernia. An irreducible hiatus hernia was diagnosed if it was obvious that a part of the stomach was situated permanently above the diaphragm in both the erect and Trendelenburg positions.
Table 32.1. Contracted Pyloric Segment in Hiatus Hernia
| Series 1 n |
Series 2 n | |
| Sliding hiatus hernia without contracted pyloric segment | 112 | 65 |
| Sliding hiatus hernia with contracted pyloric segment | 16 | 27 |
| Irreducible hiatus hernia without contracted pyloric segment | 3 | 24 |
| Irreducible hiatus hernia with contracted pyloric segment | 2 | 9 |
| Sliding and rolling hiatus hernia with contracted pyloric segment | 1 | 0 |
| Total | 134 | 125 |
| Total hiatus hernia cases without contracted pyloric segment | 115 | 89 |
| Total hiatus hernia cases with contracted pyloric segment | 19 | 36 |
| Per cent hiatus hernia cases with contracted pyloric segment | 14.2 | 28.8 |
In all cases gastric peristaltic waves and contractions of the pyloric sphincteric cylinder were carefully observed radiographically. Normal cyclical contractions of the cylinder (Chap. 13) were evident in 112 cases of sliding, and in 3 cases of irreducible hiatus hernia. Contraction of the pyloric sphincteric cylinder was diagnosed if this region failed to relax fully during the examination, which implied markedly diminished or absent cyclical activity. This was seen in 16 cases of sliding hiatus hernia, in 2 of irreducible hiatus hernia and in one where the hernia was of a combined sliding and rolling type. In these cases contraction of the cylinder ranged from what can be described as moderate (Fig. 32.5B), to severe (Fig. 32.2B) grades; perhaps more important is the fact that in all, the range and/or frequency of cyclical contraction and relaxation of the cylinder was severely curtailed.
More recently we examined a second series of 125 cases of hiatus hernia. Permanent contraction of the pyloric sphincteric cylinder, to greater or lesser degree, was present in 36 (28 percent). There were 92 cases of sliding hernia, 27 showing a contracted cylinder, and 33 cases of irreducible hiatus hernia, 9 with a contracted cylinder (Table I). Comparison of the two series of cases shows that the total percentage of cases of hiatus hernia with a contracted pyloric sphincteric cylinder, has almost doubled in the second series. The reason for this is not clear, but it is presumed that only the more severe grades of contraction were included in the first series. Few cases of contracted pyloric sphincteric cylinder could be controlled surgically, as almost all our cases of hiatus hernia which came to operation had a transthoracic approach for the repair of the hernia. The following cases were done via an abdominal route:
Case Reports
Case 32.2. A.G.C., female aged 64 years. Ten years previously a hiatus hernia had been diagnosed radiographically. At the present examination a large, sliding hiatus hernia with free gastro-oesophageal reflux was demonstrated in the Trendelenburg position (Fig. 32.2A). A constant contraction of the sphincteric cylinder, 5.0 cm in length, was seen (Fig. 32.2B). Its walls were smooth and regular, without evidence of local mucosal destruction, a niche, filling defect or other organic lesion. Emptying of fluid barium suspension was not delayed. At operation there was a hard, tumour-like contraction in the pyloric part of the stomach, extending proximally from the pyloric ring for a distance of 5.0 cm. The contraction was of such severity that the mass appeared avascular and greyish and at first simulated a carcinoma. However, gentle massaging caused it to relax, followed immediately by recurring contraction. A pylorosplasty was done at which the muscularis externa was seen to be three times the normal thickness. The mucosa bulged through the incision and the surgeon had no doubt that it was a case of adult hypertrophic pyloric stenosis (AHPS). There was no other local lesion. The hernia was repaired and a truncal vagotomy performed. Repeat radiological examination 7 months later showed a post-pyloroplasty appearance.
A![]() | |
B | |
| Fig. 32.2 A,B. Case A.G.C. Large, sliding hiatus hernia (black arrows). Contracted pyloric sphincteric cylinder (white arrows) | |
It seems that, while the radiological abnormality may be unequivocal, the operative findings, as far as the pyloric part is concerned, may be of an uncertain nature, as in the following case:
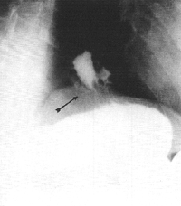
Case 32.3. F.V., male aged 75 years, was admitted for mild obstructive jaundice of 10 days' duration. There had been colicky epigastric pain for the previous 5 months, as well as acidity and heartburn for years. Oral and intravenous cholecystography revealed poor concentration of the opaque medium with calculi in the gallbladder and a dilated common bile duct containing stones. (At the time sonography of the gall bladder had not been perfected). The radiological examination showed a large, irreducible hiatus hernia (Fig. 32.3). A contraction of the pyloric sphincteric cylinder, 4.5 cm in length, with a tendency toward formation of a pseudodiverticulum on its greater curvature side, was constantly present; there was no evidence of any other lesion locally or in the remainder of the stomach. The diagnosis of contracted pyloric sphincteric cylinder, resembling AHPS, in association with hiatus hernia was made. At operation a cholecystectomy was done and calculi were removed from the common bile duct. The surgeon stated that the pyloric area of the exposed stomach felt a little thicker than usual. Had his attention not been drawn to it beforehand, it is doubtful if he would have commented on it in his operative notes. No other gastric lesion was detected. Because of the patient's age, it was decided not to repair the hernia at that time. Repeat radiographic examination 5 months later showed the irreducible hiatus hernia and the contracted pyloric sphincteric cylinder to be unchanged.
![]() |
| Fig. 32.3. Case F.V. Large irreducible hiatus hernia (black arrow). Contracted pyloric sphincteric cylinder |
In this case two points are worth noting:
- According to Burge (l964) pyloric and prepyloric muscle hypertrophy are only
appreciated with inspection and palpation during operation in advanced cases.
- With modern day anaesthesia and the use of voluntary and involuntary muscle relaxants, most spastic gastric conditions are not visible at operation. In the present case pentothal, curare, nitrous oxide, oxygen and fluothane were used (followed by atropine and prostigmine.) The fluothane is regarded as a potent smooth muscle relaxant, and most anaesthetists are agreed that spastic conditions of the stomach, clearly visible at radiographic examinations in ambulant patients, will be difficult to recognize at operation when this and similar agents are used. It is conceivable that this was the state of affairs in the present case.
Case 32.4. C.W., 70 year old female, was a known case of hiatus hernia and peptic oesophagitis. Radiographic examination showed irregular narrowing of the distal oesophagus, a sliding hiatus hernia and free gastro-oesophageal reflux (Fig. 32.4A). There was constant contraction of the pyloric sphincteric cylinder, with absence of cyclical activity; the partially contracted cylinder fixed the pyloric aperture in the open position (Fig. 32.4B). Intramuscular administration of an antispasmodic produced no change. Endoscopy confirmed the hiatus hernia with chronic, non-specific oesophagitis. No structural abnormality was seen in the remainder of the stomach, the pyloric region and duodenum.
A![]() | |
B | |
| Fig. 32.4 A. Case C.W. Sliding hiatus hernia with free gastro-oesophageal reflux (arrow). B. Case C.W. Constant contraction of pyloric sphincteric cylinder. Pyloric aperture "fixed" in open position | |
Case 32.5. N.M., female aged 64 years. Radiographic examination showed a sliding hiatus hernia (Fig. 32.5A), with free and persistent gastro-oesophageal reflux at times. There was a constantly contracted pyloric segment, 4.0 cm in length, corresponding to contraction of the pyloric sphincteric cylinder (Fig. 32.5B). At operation the hernia was repaired via an abdominal route. Palpation of the exposed stomach was equivocal, the surgeon being uncertain whether the pyloric musculature was spastic or thickened, or not. The stomach was not opened. Symptoms suggestive of partial small bowel obstruction appeared a few weeks after the operation. At a second operation 4 months after the first, small bowel adhesions, which had caused the partial obstruction, were severed. At this operation a vagotomy and pyloroplasty were also found necessary.
![]() |
| Fig. 32.5 A. Case N.M. Sliding hiatus hernia (arrow) |
![]() |
| Fig. 32.5 B. Case N.M. Constant contraction of pyloric sphincteric cylinder |
Comment: Where there is a contracted pyloric segment in the presence of an hiatus hernia, care should be taken to exclude a local organic lesion at the pylorus before the diagnosis of benign contracted segment or pseudohypertrophic pyloric stenosis is made. The following case is an example:
Case 32.6. J.L., female aged 58 years. A sliding hiatus hernia was demonstrated in the Trendelenburg position (Fig. 32.6A). A constant, somewhat irregular
A![]() | |
![]() ![]() |
Fig. 32.6 A-C. Case J.L. A Sliding hiatus hernia (arrow) with reflux and oesophageal spasm and fibrosis. B,C Narrowed pyloric region with irregular walls and small filling defect. Case of pyloric carcinoma |
Experimental Studies #
Because of the high incidence of a contracted prepyloric segment in cases of hiatus hernia in infants as reported by Roviralta (l95l), Astley and Carr‚ (l954), Forshall (l955) and Johnston (l960), and in adults as reported by Wieser et al. (l963) and Keet and Heydenrych (l97l), we have to agree with Astley and Carr‚ (l954) that the possibility of a causal relationship exists. Consequently an investigation was instituted to study the changes in the pyloric part of the stomach (if any), brought about by electrical and mechanical stimulation of the structures in and surrounding the oesophageal hiatus in the diaphragm, including the anterior and posterior vagus nerves and the intrahiatal part of the oesophagus.
Material and Methods #
Having received approval of the Ethical Committee, laparotomy was performed on 6 mongrel dogs under general pentothal anaesthesia. No premedication was given, but 50 mg scoline per half hour plus oxygen and a manual respirator were used. The oesophagus and anterior and posterior vagus nerves were dissected free, as in the technique used for truncal vagotomy. The electrodes of an A.C. Ruhmkorff induction coil were attached to various areas, including the anterior and posterior branches of the vagus. The strength of the induced current was adjustable but the same intensity was applied to all areas.
Results #
In all the experimental animals the changes occurring in the pyloric and duodenal areas were unequivocal, as follows:
- Stimulation of the tissues surrounding the vagus nerves caused no alteration.
Following stimulation of either the anterior or posterior vagus, at a level just above the
gastroesophageal junction, there was a tubular contraction of the pyloric region of the
stomach, extending orally from and including the pyloric ring. The contracted area
varied in length with the size of the animal, being from 3.0 to 6.0 cm long, and never less
than 3.0 cm (Fig. 32.7A). The elapsed time between stimulation and
contraction was 2 to 3 seconds. The remainder of the stomach remained flaccid. Ceasing
the stimulation caused the contraction to relax.
- The degree of contraction was proportional to the strength of the stimulus. Increasing the stimulus caused increased contraction of the pyloric segment, until it became a solid cylinder. The muscular contraction sqeezed out the blood, the firmly contracted region assuming an anemic, grayish white appearance (Fig. 32.7B). It felt rubbery hard and resembled a neoplasm. Usually there was some contraction of the first and second parts of the duodenum as well, but this commenced a second or two later and was much less marked than the contraction of the pyloric region.
| Fig. 32.7. A Pyloroduodenal junction in the dog. The area in the pyloric region which will undergo contraction is demarcated by the limbs of the forceps (retouched) and is 3.0 cm in length. |
![]() |
![]() |
| Fig. 32.7. B Following stimulation of the vagus in the hiatus, the pyloric sphincteric cylinder, demarcated by the forceps, becomes firmly contracted, rubbery hard and anaemic |
In one of the dogs an attempt was made to simulate the mechanical contraction which is probably produced on the gastric fornix in cases of hiatus hernia. This was done by slipping a plastic ball 5.0 cm in diameter into the fornix of the stomach via a gastrostomy. The walls of the fornix were then compressed manually against the balloon, i.e. the compressing fingers surrounded the gastric walls, (including the intact vagus nerves), and compressed these against the balloon in the lumen. A contraction of the pars pylorica, similar to that described above, occurred.
Discussion #
There can be little doubt that the pyloric sphincteric cylinder is contracted in some cases of hiatus hernia, both in infants and in adults. It may occur in sliding, irreducible, and combined (sliding and rolling) types of hiatus hernia. All our cases also had gastro-oesophageal reflux. (Comment: It should be pointed out that there is a tendency to equate persistent, symptomatic gastro-oesophageal reflux with sliding hiatus hernia. Criteria for diagnosing a sliding hernia in our cases was firstly, free and persistent gastro-oesophageal reflux, and secondly, demonstration of the gastro-oesophageal junction at a higher level than normal).
In a series of 134 consecutive cases of hiatus hernia in adults we (Keet and Heydenrych l97l) found radiographic evidence of contraction of the cylinder, to greater or lesser extent, in 14 percent. In a second series of 128 cases, contraction of the pyloric sphincteric cylinder was seen in 28 percent. Why the incidence should differ in the two series, is not clear; it is presumed that the criteria for diagnosing a contracted cylinder were stricter in our first series, only cases with moderate to severe contraction being included.
Contraction of the pyloric sphincteric cylinder may vary from very severe as in hypertrophic pyloric stenosis (Fig. 32.1A), through pseudo- hypertrophic pyloric stenosis (Fig. 32.2B) to moderate and mild degrees of contraction (Fig. 32.4B, 32.5B). A common factor in all is that normal cyclical activity of the pyloric sphincteric cylinder, i.e. the full range of normal rhythmical contraction and relaxation, occurring at a rate of approximately 3 cycles per minute, is absent.
Behar and Ramsby (l978) studied the gastric emptying rate of the liquid phase of a meal, and the fasting "antral" contractility, in 13 patients with gastroesophageal reflux and normal controls. Gastric emptying half-time was no different from that of controls but "antral" contractility (the number of antral contractions and the cumulative antral activity) was lower in reflux oesophagitis patients than in controls. It was concluded that the motility disorder in gastroesophageal reflux was not necessarily confined to the lower oesophageal sphincter, but that it might also involve the "antrum". Hillemeier et al. (l98l) noted delayed gastric emptying in infants with gastro-oesophageal reflux. Valenzuela et al. (l98l) studied gastric emptying of liquids and solids by means of a double isotope technique in l9 patients with oesophagitis and normal controls. Ten patients had delayed gastric emptying of liquids, and 7 of solids; it was concluded that patients with oesophagitis might have delayed gastric emptying. None of these authors based their findings on the concept of the pyloric sphincteric cylinder.
The pathophysiology caused by contraction of the cylinder will vary, depending on the degree of contraction. In our view this may explain some of the above findings. With severe contraction, as in hypertrophic pyloric stenosis (Fig. 32.1A) or pseudo-hypertrophic stenosis (Fig. 32.2B), partial gastric outlet obstruction may be expected; cases of this nature are in the minority. Most cases show mild to moderate degrees of contraction of the pyloric sphincteric cylinder (Fig. 32.4B, 32.5B). This often results in "fixing" the pyloric aperture in the open position, with consequent rapid or normal emptying of liquids. Diminished cyclical activity of a partially contracted pyloric sphincteric cylinder on the other hand, may delay the emptying of solids (Chap. 18) and hamper trituration (Chap. 18).
It is of interest to note that in animal experiments Gillison et al. (l972) found that oesophagitis rarely occurred with reflux of pure gastric juice; when gastric juice containing bile was allowed to reflux into the oesophagus, different degrees of oesophagitis were produced. Stol et al. (l974) found that the concentration of bile acids in the stomach was increased in symptomatic hiatus hernia cases as compared with normal controls, indicating duodenogastric reflux in these cases.
Kaye and Showalter (l974) measured duodenogastric regurgitation in 10 patients with symptomatic gastro-oesophageal reflux and in normal controls. After a standard liquid meal, bile-salt concentration in aspirated gastric juice was significantly higher in patients than in control subjects; this indicated an abnormal degree of regurgitation of duodenal contents into the stomach in patients with symptomatic gastro-oesophageal reflux. Safaie-Shirazi et al. (l975) found that the addition of bile to hydrochloric acid made the mucosa of the oesophagus much more susceptible to inflammatory change. In their investigations of duodenogastric reflux in cases of symptomatic gastro-oesophageal reflux, none of these authors mentioned the possibility of a sphincteric cylinder at the pylorus.
It has been shown that partial contraction of the pyloric sphincteric cylinder may fix the pyloric aperture in the open position (Chap. 13, 27). The partially contracted cylinder, in the absence of cyclical activity, appears to be a factor facilitating gastroduodenal reflux (Chap. 13, 27). It is suggested that the sequence of events may be as follows: In a certain percentage of cases of hiatus hernia (or symptomatic gastro-oesophageal reflux), the pyloric sphincteric cylinder is partially contracted, fixing the pyloric aperture in the open position. The patent aperture and the rigid, tube-like, partially contracted cylinder facilitate duodenogastric reflux. As a consequence of duodenogastric and gastro- oesophageal reflux, duodenal juice enters the oesophagus, producing biliary oesophagitis.
The mechanism of contraction of the pyloric sphincteric cylinder, seen in some cases of hiatus hernia, may possibly be based on vagal stimulation. In animal experiments Bortoff and Davids (l968) found that electrical stimulation of the cervical vagal trunks produced effects in the gastric "antrum" and duodenum. These included a decrease in the frequency of antral slow waves associated with an increase in their amplitude and duration; if vagal stimulation was continued, spike potentials occurred with antral (and duodenal) slow waves. Keet and Heydenrych (l97l) showed that electrical and mechanical stimulation of the anterior and posterior vagi in the oesophageal hiatus of the diaphragm caused contraction of the pyloric sphincteric cylinder; this probably occurred via the hepatic branches of the vagus, which innervate the region of the cylinder and first part of the duodenum (Chap. 8). It is known that owing to its wide ramification, stimulation of the vagus may produce distant effects; one of these is the phenomenon of earache occurring in association with hiatus hernia (Malherbe l958; Keet l968). In this syndrome stimulation of oesophageal vagal filaments in the hiatus produces referred pain in the external ear via the auricular branch. It is surmized that similar stimuli may produce motor effects via the hepatic branches (Chap. 8).
The reason why there should be an association between hiatus hernia and contraction of the pyloric sphincteric cylinder in some cases and not in others, is not known. We have been unable to establish a clear relationship between oesophagitis and contraction of the cylinder. In our second series of 125 cases, 15 had unequivocal oesophagitis, diagnosed either by endoscopy or radiography, or both; of the 15 cases only 4 had contraction of the sphincteric cylinder. The size of the portion of stomach presenting above the diaphragm, or the extent of shift of the gastro-oesophageal junction in the hiatus, similarly does not appear to be of consequence. Usually irreducible hernias cause a larger portion of the stomach to present above the diaphragm than reducible (i.e. sliding) hernias. In our series of 125 cases, 33 were irreducible hernias, with part of the stomach permanently located above the diaphragm; of these, 9 had a contracted pyloric sphincteric cylinder. Factors which may possibly play a role, but which have not been investigated, are the degree of stretch of the vagi in the hiatus, the presence or absence of peri-oesophageal inflammation, and the duration of the condition.
References #
- Astley R, Carré IJ. Gastroesophageal incompetence in children. Radiology l954 62, 351-361.
- Astley R. Radiology of the Alimentary Tract in Infancy. Edward Arnold Co, London l956, p 115.
- Behar J, Ramsby G. Gastric emptying and antral motility in reflux oesophagitis. Gastroenterology l978, 74, 253-256.
- Bortoff A, Davis RS. Myogenic transmission of antral slow waves across the gastroduodenal junction in situ. Amer J Physiol l968, 215, 889-897.
- Bowen A. The vomiting infant: recent advances and unsettled issues in imaging. Radiol Clin North Amer l988, 26, 377-392.
- Burge H. Vagotomy. Edward Arnold Co, London l964, pp 187-205.
- Burge HW, Gill AM, Maclean CDT, et al. Symptomatic hiatus hernia: a study of the pyloro-duodenal region and the rationale of vagotomy in its treatment. Thorax l966, 21, 67-74.
- Cunningham DJ. The varying form of the stomach in man and the anthropoid ape. Trans Roy Soc Edinb l906, 45, 9-47.
- Forshall I. Cardio- esophageal syndrome in childhood. Arch Dis Child l955, 30, 46-54.
- Gillison EW, de Castro VAM, Nyhus LM, et al. The significance of bile in reflux oesophagitis. Surg Gynaec Obstet l972, 134, 419-424.
- Herrington JL. Hiatal hernia with esophagitis: treatment by hernia repair, vagotomy and pyloroplasty or antrectomy. Ann Surg l960, 151, 812- 826.
- Hillemeier AC, Lange R, McCallum R, et al. Delayed gastric emptying in infants with gastroesophageal reflux. J Pediatr l98l, 98, 190-193.
- Johnston JH. Hiatus hernia in childhood. Arch Dis Childh l960, 35, 61-65.
- Kaye MD, Showalter JP. Pyloric incompetence in patients with symptomatic gastro-esophageal reflux. J Lab Clin Med l974, 83, 198-206.
- Keet AD. Oorpyn as 'n simptoom van hiatusbreuk. Geneeskunde l968, 10, 98-99.
- Keet AD, Heydenrych JJ. Hiatus hernia, pyloric muscle hypertrophy and contracted pyloric segment in adults. Amer J Roentg Rad Ther Nucl Med l97l, 113, 217-228.
- Malherbe WDF. Otalgia with oesophageal hiatus hernia. Lancet l958, l, 1368-1369.
- Roviralta E. Las asociaciones etiologicas en los sindromes emitizantes del lactante "el sindrome freno-pilorico." Med Clin l95l, 16, 407-416.
- Safaie-Shirazi S, Den Besten L, Zike WL. Effect of bile salt on the ionic permeability of the oesophageal mucosa and their role in the production of oesophagitis. Gastroenterology l975, 68, 728-733.
- Stewart JD. Addendum to paper by Herrington JL (l960). Ann Surg l960, 151, 812-826.
- Stol DW, Murphy GM, Collis JL. Duodenogastric reflux and acid secretion in patients with symptomatic hiatal hernia. Scand J Gastroenterol l974, 9, 97-101.
- Torgersen J. The muscular build and movements of the stomach and duodenal bulb. Acta Rad l942, Suppl 45, l-l9l.
- Valenzuela JE, Miranda M, Ansari AN, et al. Delayed gastric emptying in patients with esophagitis (abstract). Gastroenterology l98l, 80, 1307.
- Wieser C, Allgöwer M, Flury A, et al. Die gutartige Pylorushypertrophie des Erwachsenen im Röntgenbild. Radiol Clin l963, 32, 277- 291.
A
B
B

B





