Gastric Ulceration and the Pyloric Sphincteric Cylinder #
Johnson (l957, 1965) and Johnson et al. (l964) held that gastric ulcers should not only be classified anatomically according to their distance from the pylorus, but also in accordance with their associated acid-secretory or patho-physiological characteristics. While most gastric ulcer patients were acid hyposecretors, some were moderate and others hypersecretors of acid. On this basis the following 3 types of gastric ulcers were recognized: Type I consisted of those cases in whom the ulcer was situated to the left of and above the gastric angulus (the angulus being defined as the lowest point of the lesser curvature), without macroscopic abnormalities of the prepyloric region, the pylorus or duodenum; these cases were associated with a low level of acid secretion and possibly hyposecretion of mucus. Type II consisted of those cases in which a gastric ulcer to the left of the angulus was associated with, and probably secondary to, an ulcer or its scar in the pylorus or duodenum; these patients were moderate and sometimes hypersecretors of acid. Type III included all gastric ulcers on or near the pylorus, and might be combined with a duodenal ulcer or a Type II gastric ulcer proximally; these patients usually had hypersecretion of acid. Type III was subdivided as follows: (1) ulcers within one inch (2.54 cm) of the pylorus, called true prepyloric ulcers; (2) ulcers to the right of the angulus but further than 2.54 cm from the pylorus, called "other antral" ulcers. It was concluded that gastric ulcers near the pylorus and those occurring with a duodenal ulcer should be looked upon as a disease of acid hypersecretion; in these cases there was a marked blood group O predominance, the ulcers nearest the pylorus carrying the highest proportion of blood group O. Gastric ulcers in the body of the stomach, occurring in patients in whom the duodenum was normal, were usually characterized by acid hyposecretion; in these patients there was no evidence of group O preponderance, but in fact an excess of blood group A. The findings showed that the pathogenesis differed in different types of gastric ulcers.
In their endoscopic studies of the mucosal morphology in 200 patients with chronic gastric ulceration, Stadelmann et al. (l97l) classified the ulcers according to their anatomical location, i.e. whether they were situated in the "prepyloric antrum", at the angulus, in the middle of the body or in the subcardial region. A close relationship existed between the location of the ulcer and the maximal acid secretion. Ulcers of the "prepyloric antrum" were similar to duodenal ulcers, having hyperchlorhydria, while those at the angulus had normochlorhydria and subcardial ulcers had hypochlorhydria. It was concluded that the maximal acid output decreased the farther the ulcer was away from the pylorus.
In an extensive review Brooks (l985) divided chronic, benign, recurrent gastric ulcers into the following subgroups: (1) corpus or fundus ulcers; (2) antral or prepyloric ulcers; (3) pyloric channel ulcers; (4) a combination of any of the above with duodenal ulceration; (5) ulcers resistant to healing under treatment.
In view of the fact that the present investigation is primarily concerned with the muscular anatomy of the stomach and motility, we divided gastric ulcers into 2 types, viz. those situated proximally to the pyloric sphincteric cylinder and those occurring within the cylinder, i.e. within 3.0 cm to 4.0 cm of the pyloric aperture.
Gastric Ulceration Proximal to the Pyloric Sphincteric Cylinder #
In a radiological investigation of 200 patients with large, chronic benign gastric ulcers on the lesser curvature of the pars media, Steigman (l943) found associated "antral spasm" (which he equated with pylorospasm) in a small percentage of cases. At times the spasm was persistent and quite marked, the whole "antrum" distal to the ulcer being contracted throughout the examination. (Comment: On accompanying illustrations it appears if the "antral spasm" is limited to the pyloric sphincteric cylinder).
Lilja (l953, l954) pointed out that in cases of ulceration at the incisura angularis, associated changes in the pyloric part of the stomach were not unknown but had not been subjected to a systematic analysis. In his radiological investigations Lilja found that gross ulceration at the incisura was usually associated with an impairment of gastric motility in the distal stomach, consisting of altered peristalsis with dilatation of the sinus. Of 21 cases with a large ulcer at the incisura, radiological examination showed dilatation of the sinus in 18; in 4 cases in which the ulcer was smaller, the sinus was not dilated. In some of these cases the appearance of the canalis egestorius (i.e. the pyloric sphincteric cylinder) also deviated from the normal, showing a cylindrical contraction in several. In others it contained irregular and oblique mucosal folds, while its contractions were atypical and occurred at infrequent intervals. At times there was a non-characteristic functional impairment of the canalis with the pylorus remaining widely patent.
Histological examination in one of these cases showed chronic inflammatory changes in the mucosa of the canalis with infiltration of plasma cells and hyperplasia of lymph follicles. Another case showed follicular and antral gastritis. In all cases destruction of the muscularis externa, with fibrous replacement, was seen at the site of the ulcer (at the incisura). Lilja (l953, l954) concluded that in cases of ulceration at the incisura angularis, associated changes were frequently seen in the canalis egestorius. The most common appearance was a more or less permanent contraction of the canalis of varying severity, resembling adult hypertrophic pyloric stenosis (AHPS) in the most pronounced cases. Lilja (l959) subsequently stated that the changes in the canalis were so common that they had to be regarded as an inherent part of the radiological appearance in cases of deep ulceration at the incisura. In some cases it was found that the contraction of the canalis persisted for periods of 2 to 4 years after healing of the ulcer. In their description of 6 cases of AHPS, Skoryna et al. (l959) included one case in which pyloric muscular hypertrophy was associated with a lesser curvature gastric ulcer situated 6.0 cm orally to the pylorus (Chap. 24). The muscular hypertrophy involved the canalis egestorius as described by Torgersen (l942). It was surmized that the pyloric hypertrophy was probably the primary lesion.
Knight (l961) described a case of a 37 year old male in which a benign gastric ulcer, 6.0 cm proximal to the pylorus, was associated with AHPS (Chap. 24). The area of muscular hypertrophy was 2.5 cm in length and the walls measured 1.5 cm in thickness, i.e. it appeared to be a typical case of AHPS limited to the pyloric sphincteric cylinder. Whether there was a causal relationship between the gastric ulcer and the pyloric hypertrophy was not clear. (Two other cases of AHPS described by Knight were not associated with gastric ulceration). According to him it was likely that the gastric ulcer was the result rather than the cause of the AHPS. This was consistent with the experimental findings of Dragstedt et al. (l954), who had previously produced gastric ulceration in dogs by occluding the pylorus.
Burge et al. (l963) described 2 adult cases in each of which a benign gastric ulcer situated high on the lesser curvature was associated with what they called the "pyloric channel syndrome". In one case radiography showed a narrowed pyloric “antrum” suggesting malignancy, while operation revealed severe benign organic stenosis of the pyloric area with a tiny eccentric aperture. In the second case, in which radiography showed tapering of the prepyloric stomach and deformity of the duodenal cap (in addition to the high gastric ulcer), microscopic examination of the resection specimen revealed unilateral pyloric muscle hypertrophy with small round-cell infiltration and fibrosis. It was thought that the pyloric channel syndrome, with associated gastric stasis, was the probable cause of the gastric ulceration in these cases.
During histological examination of resection specimens in 37 cases of chronic gastric ulceration, Du Plessis (l963) found associated atrophic gastritis of the whole of the pyloric gland area in 62 percent of cases, and of half the pyloric gland area in 92 percent. (Comment: In cases of gastric ulceration the pyloric glandular zone may be more extensive than in normal controls as described in Chapter 5).
Garret et al. (l966) studied antral contraction waves by means of small water-filled balloons placed in the "distal antrum" in normal controls and 13 patients with benign gastric ulceration. In 10 of the patients the ulcer was situated at or below the incisura angularis but orally to the pyloric region. The amplitude and duration of Type II waves were similar in health and gastric ulcer patients, but there was a significant reduction in the number of these waves in the ulcer group. Normal motility patterns were obtained after the ulcer had healed. It was concluded that the gastric ulcer had a secondary effect on motility; there could be an interruption between action potentials and the contractile mechanism of antral smooth muscle.
Schrager et al. (l967) performed histological studies of the "antrum" in 40 resection specimens obtained from cases of gastric ulceration. In 31 cases the ulcer was situated at a distance of 5.0 cm to 10.0 cm proximal to the pylorus; in 5 cases it was at a distance of 2.5 cm to 5.0 cm, and in 4 cases at a distance of 0 cm to 2.5 cm from the pylorus. While a zone of gastritis surrounded the ulcer in all instances, the main inflammatory changes were found in the "antrum". These consisted of widespread destruction of pyloric glands, intestinalization, and in a few cases complete mucosal atrophy, usually associated with marked fibrosis in the submucosa. In 7 stomachs (it is not clear what the exact situation of the ulcer was in these cases) the changes had been severe enough to produce stenosis of the "antrum". Schrager et al. (l967) quoted a number of previous authors who had found that the inflammatory changes of gastritis in cases of gastric ulceration were confined to the "antrum". These changes were much more intense in cases of gastric ulceration than in duodenal ulceration; while intestinal metaplasia was uncommon in duodenal ulceration, it was frequently encountered in cases of gastric ulcer. Most previous authors held the view that the inflammatory changes preceded the ulceration, and that the inflammation of the antrum was the more fundamental change.
Kwong et al. (l970) studied the electrical activity in the distal 6.0 cm of the "antrum" in patients with gastric ulceration by means of serosal electrodes implanted at operation and mucosal electrodes introduced via nasogastric tubes. Recordings in 12 control subjects showed a wave frequency of 3 cycles per minute; there was a significantly higher frequency in 8 patients with gastric ulceration. The amplitude of the waves, the shape of the wave forms and the conduction time of the electrical impulses were the same in the two groups.
Gear et al. (l97l) pointed out that gastric ulcer was frequently associated with chronic gastritis, but that the relationship between the two was controversial. Some previous studies had suggested that gastritis was the primary change, with the gastric ulcer supervening; other studies had indicated that the ulcer was the primary lesion with gastritis an accompanying zonal change. Features of the gastritis associated with chronic benign gastric ulcer in 35 untreated cases were studied by means of fibreoptic gastroscopy and biopsy; there were 14 prepyloric ulcers and 21 in the body of the stomach. Biopsies were taken in the prepyloric area, from the middle of the lesser curvature, from the high lesser curvature and the middle of the greater curvature. A marked difference in the distribution and severity of the gastritis in the two subgroups was found, the changes being more severe and more extensive in ulcers of the body of the stomach. In general, there was a tendency for the more severe atrophic changes to be found distally in the "antrum" and on the lesser curvature, while the greater curvature was least affected. Another group of 28 patients with gastric ulceration had a gastroscopy before and after medical treatment. In most cases biopsy specimens from the second examination showed a similar, or worse, grade of gastritis than those from the first. In a third group of patients, in whom the gastric ulceration had been treated by vagotomy and pyloroplasty, the atrophic gastritis and intestinal metaplasia commonly became worse after surgery.
Gear et al. (l97l) concluded that the gastritis associated with chronic gastric ulcer was regional, with the distal part of the stomach and midpart of the lesser curvature the most severely affected. Ulcers of the body of the stomach were associated with more extensive and more severe gastritis than ulcers of the prepyloric region. It was felt that gastritis was the basic disease process with gastric ulceration a secondary phenomenon. Lawson (l972) studied the antral mucosa by means of gastroscopy and biopsy in 25 patients with gastric ulceration "in the usual position" along the lesser curvature. (Comment: It appears if the ulcers were situated a considerable distance proximally to the pyloric aperture). The biopsies were taken at a point half-way between the ulcer and the pyloric aperture, in an area in which the antral mucosa appeared normal macroscopically. In 10 cases the surface epithelium, pyloric glands and mitotic activity were normal. In the remaining 15 cases marked histological changes were seen, with chronic atrophic gastritis in 7 and increased mitotic activity in 8. The findings supported the view that a diffuse mucosal lesion of the "antrum" was associated with gastric ulceration situated proximally to the antrum. It was not clear whether the gastritis or the gastric ulcer was the primary event.
Fisher and Cohen (l973) studied pyloric sphincter pressures in 10 patients with gastric ulceration, both before and after healing, and in 10 normal control subjects. (Comment: The pyloric ring was equated with the sphincter). The ulcer was situated high on the lesser curvature in 1 case, on the middle of the lesser curvature in 4, in the prepyloric region in 3 and in the "pyloric channel" in 2. Intraluminal pressures were determined by means of an open-tipped, 5-lumen catheter assembly, with all patients in the right lateral decubitus position. It was found that the gastroduodenal junction of patients with an active gastric ulcer was characterized by a zone of high pressure similar to that in normal subjects. The pyloric pressure in patients with gastric ulcer was 4.2 ± 0.9 mm Hg as compared to 6.2 ±: 1.3 mm Hg in normal subjects. Duodenal acidification in normal subjects increased the pyloric pressure to 25 mm Hg, but had no effect in patients with active gastric ulceration. Intravenous administration of secretin and cholecystokinin gave similar results. The studies suggested pyloric sphincter dysfunction in patients with gastric ulceration, probably leading to increased duodenogastric reflux. As similar findings were obtained after healing, it appeared unlikely that gastric ulceration was the cause of the pyloric incompetence. (Comment: The results of manometric studies in normal subjects by Fisher and Cohen are discussed in Chap. 15). Fisher and Boden (l975) subsequently reported that pyloric sphincter dysfunction could be reversed by gastric acidification, but that the mechanism of the dysfunction remained unclear.
Liebermann-Meffert and Allgöwer (l977) pointed out that while the factors leading to gastric ulceration were not fully understood, some abnormality of the pylorus, e.g. antral stasis or duodenogastric reflux, had been implicated. In an attempt to elucidate the problem, detailed studies of anatomical changes in the pyloric region were performed in 77 surgical resection specimens of patients with gastric ulceration. In 10 the ulcer was immediately adjacent to the pylorus ("pyloric ulcers") while in 67 it was situated in other parts of the stomach ("non-pyloric ulcers"); the findings were compared with those of 50 control subjects. While all controls had a soft antropyloric wall, considerable patchy induration of the wall was felt in 41 of 54 gastric ulcer specimens. The pyloric diameter in controls had a range of 15 mm to 22 mm; in the ulcer specimens the range was 10mm to 22 mm. In 22 of 45 ulcer specimens the pyloric ring was smaller than the lower limit of normal, and bouginage was found to be difficult as the ring was more rigid than in controls, although it had not caused obstruction.
According to Liebermann-Meffert and Allgöwer (l977) the pyloric and prepyloric musculature was of uniform thickness in control subjects, while nodular or fusiform muscular thickening, often involving only part of the circumference, was frequently found in ulcer specimens (Chap. 25). In 9 of these cases the muscular hypertrophy was circular, involving the whole pyloric ring uniformly. In all cases considerable fibrosis was seen in the thickened musculature. Diffuse submucosal thickening, probably due to a combination of oedema and connective tissue hypertrophy, was found in the ulcer cases, and the mucosa often appeared coarse and roughened. The number of Auerbach's plexuses and the corresponding number of nerve cells was significantly reduced in cases of gastric ulcer, being only half that seen in controls. All the changes occurred in the antropyloric wall irrespective of the site of the ulcer. It was concluded that the thickness of the gastric wall at the pylorus and in the distal 5.0 cm of the "antrum", was increased in patients with gastric ulcer. Although the mucosa, submucosa and muscular layers were affected, the changes were most marked in the latter. Muscle hypertrophy was not necessarily uniform, was usually associated with fibrosis, and histological abnormalities of the muscle cells were common. The intramural ganglia were markedly reduced in number and those which were present commonly showed abnormal nuclei. Since the muscle and ganglia were involved in normal motility, it was reasoned that the above features were consistent with a disturbance of normal physiological mechanisms at this site. Whether this was a cause or the consequence of duodenogastric reflux, or whether it formed a link in the chain of events leading to gastric ulceration, remained uncertain.
In 8 cases in whom a gastric ulcer was situated on the lesser curvature or anterior gastric wall, Meister et al. (l979) found histologically verified chronic atrophic gastritis and intestinal metaplasia with mild or moderate dysplasia in all. These mucosal changes were especially prominent in the proximal regions of the resection specimens.
Liebermann-Meffert et al. (l98l) found that intraoperative electrical stimulation of the vagal trunks caused a distinct intragastric pressure rise in patients with gastric ulcer, duodenal ulcer, combined gastric and duodenal ulcer, and in non-ulcer controls. However, the amplitude, duration and integrated motor response in the stomach was significantly greater in the patients with gastric ulcer than in the other groups. It was concluded that gastric ulceration did not cuase hypomotility of the gastric reservoir (i.e. the corpus and fundus), but that it was probably associated with a disturbance of the antral pump mechanism. The intrinsic morphological alterations of the antropyloric wall could render antral contractions less effective, leading to impaired gastric drainage and stasis. In a further study of the pathomorphology of the antropyloric wall in peptic ulcer disease, Liebermann-Meffert and Allgöwer (l98l) found that abnormalities of the muscle fibres and Auerbach's plexuses, and the replacement of contractile muscular tissue by fibrous tissue, might impair antropyloric motor function, having a bearing on gastric emptying and duodenogastric reflux. The changes were always more severe in gastric than in duodenal ulceration, and did not occur in controls. While the pyloric aperture was somewhat rigid to distension in all peptic ulcer patients, its mean diameter was not significantly smaller than in controls and there was no stenosis of the pyloric ring which could account for gastric stasis.
Miller et al. (l980) pointed out that while patients with Type I gastric ulcers had less acid in their stomachs than normal controls, it was debatable whether this indicated actual hyposecretion, or whether it was due to increased back-diffusion of hydrogen ions across the mucosal barrier, or to neutralization by refluxed duodenal contents. In a study of 7 patients with chronic benign gastric ulceration above the incisura, it was found that gastric acid output in response to an ordinary solid-liquid meal was significantly less than in normal controls. In the patient group the emptying rate of solids was consistently lower than in controls while emptying of liquids remained normal. The gastric ulcer patients also had increased intragastric bile acid concentrations.
In his review Brooks (l985) found that a gastric ulcer in the corpus was usually associated with hyposecretion of acid and pepsin, decrease in the "antral" gastrin content, reduced amplitude of "antral" contractions, an incompetent pylorus, increased bile reflux, and delayed emptying of solids.
We have noted that gastric ulcers in the more proximal parts of the stomach were sometimes associated with contraction or motility disturbances of the pyloric sphincteric cylinder. The following are representative cases:
Case Reports #
Case 29.1 C.W., 60 year old male, presented with intermittent epigastric pain and malaena. Radiographic examination showed a gastric ulcer, 2.5 cm in diameter, in the posterior wall of the upper corpus, approximately 10 cm proximal to the pylorus; the features were those of a benign ulcer. There was constant contraction (or spasticity) of the pyloric sphincteric cylinder, the contracted region being 3.0 to 4.0 cm in length (Fig. 29.1). Cyclical contraction and relaxation of the cylinder, normally occurring at a rate of 3 cylces per minute, was absent; the contraction of the cylinder "fixed" the pyloric aperture in the open or patent position. Mucosal folds in the contracted cylinder appeared normal, but their movements were restricted. A shallow, concave identation of the base of the duodenal bulb, caused by the pyloric ring, was evident. Peristaltic waves in the remainder of the stomach were normal; emptying of liquid barium appeared normal. Two weeks later a Billroth I partial gastrectomy confirmed the large, chronic gastric ulcer. No macroscopic abnormality was seen or felt in the pyloric region. Histology of the ulcer proved it to be benign; microscopic examination of the pyloric region was not carried out.
![]() | ![]() |
![]() | ![]() |
| Fig. 29.1 A-D. Case C.W. Constant contraction or spasticity of pyloric sphincteric cylinder. Cyclical activity absent. Pyloric aperture "fixed" in patent position (B-D) | |
Case 29.2 I.H., 59 year old male, presented with longstanding epigastric pain and malaena. Radiographic examination showed a large ulcer in the posterior wall of the midcorpus. Endoscopic biopsy confirmed the ulcer; the gastric mucosa showed intestinal metaplasia with prominent acute and chronic inflammatory cells, diagnosed as subacute gastritis. No evidence of malignancy was found. After anti-ulcer therapy the patient was temporarily lost to follow-up, but reappeared three years later. Radiographic examination showed the following: after the first two mouthfuls of barium a large ulcer on the posterior wall of the corpus was evident as before (Fig. 29.2A). Before barium entered the duodenum a constant, deep spastic incisura was seen in the pyloric region of the distal greater curvature; swallowing more barium showed it to be due to contraction of the left pyloric loop (Fig. 29.2B). The pyloric sphincteric cylinder between the left loop and the pyloric aperture remained partially contracted, normal cyclical contraction and relaxation being absent. The pyloric aperture remained patent and emptying of fluid barium appeared normal; the appearances were unchanged throughout the examination.
Further treatment followed. Radiographic examination 18 months later showed the ulcer, the prominent contraction of the left pyloric loop and contraction of the remainder of the cylinder to be unchanged (Fig. 29.2C). Endoscopic biopsy confirmed the previous findings. Radiographic examination and endoscopic biopsy after another 5 years showed no change. Billroth II partial gastrectomy confirmed the presence of a large, chronic, benign gastric ulcer on the posterior wall of the corpus; it had penetrated into the pancreas. No organic lesion was seen or felt in the pyloric region.
![]() | ![]() |
| Fig. 29.2 A,B. A Case I.H. Large gastric ulcer posterior wall of corpus (open arrow). Deep spastic incisura distal greater curvature (curved arrow). B Case I.H. The spastic incisura is caused by constant contraction of the left pyloric loop (curved arrow). | |
![]() | ![]() |
![]() | ![]() |
| Fig. 29.2 C-F Case I.H. Eighteen months later the gastric ulcer (open arrow), contraction of the left pyloric loop (curved arrow) and contraction of the sphincteric cylinder are unchanged | |
Case 29.3 V.D., 30 year old male, complained of epigastric pain not responding to antacids. Radiographic examination showed a gastric ulcer 1.5cm in diameter, on the lesser curvature at the angulus (Fig. 29.3A); no signs of malignancy were seen. Intially there was marked contraction of the pyloric sphincteric cylinder, which contained a few prominent mucosal folds; this was associated with delay in emptying of liquid barium. After barium had filled the cylinder, it was seen to remain contracted throughout the examination; although a minor degree of relaxation occurred occasionally, the apperances remained as illustrated most of the time, with absence of cyclical activity (Fig. 29.3B). Longitudinal mucosal folds were evident in the contracted cylinder. Endoscopic biopsy showed a benign looking gastric ulcer in the corpus. Microscopically there was mixed inflammatory cell infiltration, diagnosed as acute on chronic gastritis. No evidence of malignancy was seen. Repeat endoscopy 2 months later showed that the ulcer had healed.
A | |
| Fig. 29.3. A Case V.D. Gastric ulcer on lesser curvature at angulus (open arrow). Marked contraction of sphincteric cylinder (filled arrow). B Case V.D. Gastric ulcer at angulus (open arrow). Constant contraction of sphincteric cylinder (filled arrows) with absent cyclical activity. | B |
Discussion #
Chronic Benign Gastric Ulceration #
Many authors found evidence of chronic or atrophic gastritis in the pyloric region in cases where gastric ulceration was located more proximally in the stomach (Lilja l959; Burge et al. l963; du Plessis l963; Schrager et al. l967; Gear et al. l97l; Lawson l972; Meister et al. l979). Some investigators looked upon "antral" gastritis as the primary event (Schrager et al. l967; Gear et al. l97l), while others pointed out that the relationship between gastritis and gastric ulceration remained controversial (Lawson l972; Liebermann-Meffert and Allgöwer 1977).
Narrowing of the pyloric region in cases of chronic, benign gastric ulceration in the region of the angulus has been described by several authors. Steigman (l943) for instance, noted "antral spasm" in a small percentage of cases where the ulcer was located at the incisura angularis. Lilja (l953, l954) found the canalis egestorius (i.e. the pyloric sphincteric cylinder) to be contracted in some of these cases of gastric ulceration. The cylindrical contraction might resemble AHPS, or it might be less severe and be more in the nature of an impairment of motility; irregular and oblique mucosal folds might be present in the contracted region, and the pylorus might be patent. Burge et al. (l963) called the condition the "pyloric channel syndrome", while Schrager et al (l967) termed it "stenosis of the antrum".
Motility disturbances of the pyloric region in cases of gastric ulceration of the corpus were described by Garret et al. (l966) during manometric studies, by Kwong et al. (l970) during myoelectrical investigations and by Miller et al. (l980) in gastric emptying studies.
One case in which AHPS was associated with a gastric ulcer located 6.0cm proximal to the pylorus was described by Skoryna et al. (l959), and another by Knight (l96l) (Chap. 24); the latter author considered AHPS to be the cause of the ulcer. According to Liebermann-Meffert and Allgöwer (l977) nodular or fusiform thickening in the pyloric and prepyloric musculature, with mucosal and submucosal changes, reduction in the number of Auerbach's plexuses and fibrosis, occurred not uncommonly in association with gastric ulceration more proximally in the stomach; these alterations caused a disturbance of normal motility and of the "antral pump mechanism".
The cases described here show that a chronic, benign gastric ulcer, situated away from (i.e. orally to) the pyloric region, may be associated with contraction of the pyloric sphincteric cylinder. In a recent series of 65 consecutive cases of chronic gastric ulceration, where the ulcer was located more proximally in the stomach (usually in the region of the angulus on or near the lesser curvature), we noted a constant contraction of the pyloric sphincteric cylinder in 10. (Comment: Although histology of the ulcer was obtained in all instances, microscopic examination of the pyloric region was not considered to be a routine examination and was not done). This confirms the findings of Lilja (l953, l954), and will probably also explain some of the appearances described by Steigmann (l943), Schrager et al. (l967), and others.
Contraction of the pyloric sphincteric cylinder may be associated with increased duodenogastric reflux (Chap. 27), fixation of the pyloric aperture in the "open" position (Chap. 20), decreased cyclical activity (Chap. 20), delayed emptying of solids (Chap. 18) and diminished trituration (Chap. 18). Among the abnormalities encountered in patients with gastric ulceration in the corpus of the stomach, Brooks (l985) mentioned increased bile reflux, incompetent pylorus, reduced amplitude of gastric "antral" contractions and delayed gastric emptying of solids. It appears possible that contraction of the pyloric sphincteric cylinder may be a factor in the pathophysiology of these cases.
Why some cases of ulceration in the gastric corpus should be associated with contraction of the pyloric sphincteric cylinder and others not, is not known. It is not clear whether gastric ulceration or contraction of the cylinder is the primary event. We have not been able to establish a clear relationship between the size, chronicity or exact situation of the ulcer on the one hand, and contraction of the cylinder on the other.
Malignant Gastric Ulcer #
Contraction of the pyloric sphincteric cylinder in the presence of an ulcer in the corpus does not necessarily indicate a benign ulcer. During the present investigation the following case, proving the opposite, was encountered.
Case Report #
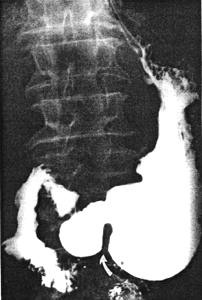
Case 29.4 F.F., 29 year old female, presented with epigastric pain and loss of weight. Radiographic examination showed an ulcer 1.5 cm in diameter on the lesser curvature of the stomach at the incisura angularis (Fig. 29.4 (A-D). A cylindrical contraction, 3.0 cm in length and containing a longitudinal mucosal fold, was seen in the pyloric region; a prominent pseudo-diverticulum was evident on the greater curvature side of the contraction, the appearances tallying with contraction of the pyloric sphincteric cylinder. Occasionally a minor degree of relaxation occurred, but most of the time the contraction remained as illustrated, with absence of normal cyclical activity. (Fig. 29.4 A-D). Response to anti-ulcer therapy was poor. Endoscopic biopsy 6 months later showed an ulcer at the angulus with surrounding induration. Microscopically the base of the ulcer consisted of fibrinopurulent material, fibrotic tissue and well-differentiated adenocarcinoma cells. Billroth II partial gastrectomy confirmed the large ulcer with indurated edges on the lesser curvature. Microscopically a well- differentiated adenocarcinoma, infiltrating locally through the muscularis externa into the subserosal tissue, was seen. The adjacent gastric mucosa showed areas of intestinal metaplasia. Microscopic examination of l7 lymph nodes revealed no carcinoma cells. It was concluded that the appearance of a chronic ulcer with dense fibro-collagenous tissue and carcinoma cells in the base, was compatible with so-called "ulcer cancer", i.e. carcinoma originating in a chronic gastric ulcer.
![]() | ![]() |
![]() | ![]() |
| Fig. 29.4 A-D Case F.F. Malignant ulcer at incisura angularis (open arrow). Constant contraction of pyloric sphincteric cylinder with absent cyclical activity (filled arrows) | |
Gastric Ulceration Within the Pyloric Sphincteric Cylinder
Golden (l937) pointed out that the narrowing of antral gastritis and spasm, as seen on radiographs, was confined to that part of the stomach which normally exhibited antral systole and diastole, i.e. the pyloric sphincteric cylinder (Chap. 28). A similar contraction could occur in cases of prepyloric ulceration, where the ulcer was surrounded by contraction of the "fan-shaped muscle". According to Golden (l937) it had been customary to attribute "antral spasm" in these cases to the ulcer, but as the same spasm could occur in gastritis without ulceration, it was more likely that the spasm was due to the inflammatory change in the gastric wall. As pointed out above, an identical contraction might occur in cases where the ulcer was located more proximally in the stomach.
Magnus (l954) examined various features of 421 surgical resection specimens in cases of gastric ulceration. A total of 131 ulcers were located within 2.5 cm of the pylorus, 50 were situated between 2.5 to 5.0 cm from the pylorus and the remainder were located further proximally. No morphological difference was found between the ulcers in the various situations.
Raffensperger (l955) described an adult case in whom a prepyloric gastric ulcer, situated on the greater curvature 1.0 cm proximally to the pylorus, was diagnosed radiologically. Initially no associated narrowing was seen, but as the ulcer healed a prepyloric narrowing containing prominent irregular mucosal folds, became evident. Five weeks after the original diagnosis the radiographic appearance of adult hypertrophic pyloric stenosis (AHPS) was seen, and at operation the gross appearance was that of typical AHPS. Microscopically the thickening consisted solely of muscular tissue without evidence of associated oedema or inflammation. A healed gastric ulcer was also present. The condition was considered to be AHPS which had developed within five weeks around a healing, prepyloric gastric ulcer.
It has been mentioned that Johnson (l957, l965) and Johnson et al. (l964) divided gastric ulcers into three types, depending on the associated acid secretory characteristics. Prepyloric ulcers (occurring within 2.54 cm of the pylorus) and other antral ulcers (occurring to the right of the angulus but further than 2.54 cm from the pylorus) were associated with acid hypersecretion, resembled duodenal ulcers clinically, and constituted Type III gastric ulcers.
Foulk et al. (l957) stated that the "pyloric channel" was not a well-delineated anatomical entity, and that gastric landmarks and boundaries differed in their details for the radiologist, the endoscopist, the surgeon and the pathologist (Chap. 2). For that reason the literature on "pyloric and pyloric-channel" ulcers was confusing. The proximal boundary of the so-called pyloric channel was difficult to define, and the term merely described a region of the stomach near the pylorus rather than a definite anatomical entity. The length of the anatomical pyloric channel was variable, but was approximately 2.0 cm. Pyloric channel ulcers were defined as ulcers occurring between the gastroduodenal junction and an imaginary line 2.0 cm above the junction; the term pyloroduodenal ulcers was used to indicate ulcers which straddled the junction. These authors studied three groups of patients with surgically treated peptic ulcer near the pylorus. There were 35 cases with pyloric channel ulcers, 29 with pyloroduodenal and l9 with duodenal ulcers. Clinically there were no features which permitted a differentiation of pyloric channel ulcers from the other two groups.
In their description of 6 cases of AHPS, Skoryna et al. (l959) included one case in which an ulcer of the pyloric canal was associated with hypertrophy of the musculature of the canalis egestorius as described by Torgersen (l942) (Chap. 24).
Texter et al. (l959) also drew attention to the confusion which existed concerning the terminology of the distal portion of the stomach. These authors looked upon the pyloric sphincter as the muscular ring surrounding the lumen of the gastroduodenal junction, and the pyloric channel or pyloric canal as the narrow space encompassed by the ring. Ulceration of the pyloric channel consequently indicated an ulcer involving the ring. This concept of pyloric channel ulcers differed from that of Foulk et al. (l957), who would have termed these pyloroduodenal ulcers. In a clinical study of 67 cases of pyloric channel ulcers Texter et al. (l959) found that although the symptoms were not pathognomonic, they differed significantly from those of gastric ulcers occurring elsewhere in the stomach, and from those of uncomplicated duodenal ulcers.
Burge et al. (l963) described a pyloric channel syndrome occurring in association with gastric ulceration. The ulcer in these cases could be located either high on the lesser curvature or in the pyloric channel. Pathologically the pylorus and prepyloric region showed small round cell infiltration and muscle hypertrophy with fibrous replacement of muscle cells. These features were apt to cause a narrowing of the pylorus and prepyloric region.
Murray et al. (l967) described features in 47 patients who underwent operation for pyloric channel ulcers. (Comment: From the description it is clear that the pyloric channel was equated with the pyloric aperture). Preoperative radiologic examination was obtained in 42 of the patients and the diagnosis of pyloric channel disease was confirmed in 41. There was associated duodenal ulcer disease in 25 cases, while 8 patients had an associated lesser curvature gastric ulcer and 10 associated hiatus hernia. Clinically pyloric channel ulcer was frequently associated with a symptom complex called the pyloric syndrome. Dysfunction of the "antral" evacuation mechanism was noted in one half of the patients. The ulcer was usually associated with low gastric acidity, and histologically it appeared to occur in gastric mucous membrane.
Gear et al. (l97l) found gastritis associated with prepyloric ulcers to be much less severe, and also less extensive, than that associated with ulcers in the body of the stomach. In both groups of ulcers the gastritis occurred predominantly in the distal part of the stomach and along the middle of the lesser curvature. Superficial or atrophic gastritis was found to persist or even worsen after healing of the ulcer, whether the treatment was medical or surgical.
Liebermann-Meffert and Allgöwer (l977, l98l), in their study of surgical resection specimens, found that the changes in the antropyloric wall occurring in association with pyloric ulceration, were similar to those seen in gastric ulceration elsewhere in the stomach (see above); these included abnormalities of Auerbach's plexuses and the muscularis externa with replacement of contractile muscular tissue by fibrous tissue. It was thought that this might impair antropyloric motor function. Lawson (l98l) stated that a prepyloric ulcer differed from a duodenal or mid lesser curvature gastric ulcer in a number of ways. For instance, it had a high recurrence rate when treated by parietal cell vagotomy and it was associated with a variable level of gastric acid secretion. The degree and distribution of chronic severe gastritis in 15 antrectomy specimens removed for prepyloric ulceration was examined. In 6 of the cases the prepyloric ulcer was on the lesser curvature; in these cases there were localized areas of severe chronic gastritis along the middle of the anterior and posterior walls of the "antrum", with a tongue of gastritis extending upwards along the lesser curvature as far as the fundus. In 3 cases, where the prepyloric ulcer was situated on the greater curvature, localized areas of gastritis also occurred, the least affected area being along the lesser curvature. The widest area of gastritis was seen on the anterior and posterior walls of the greater curvature of the "antrum", with a tongue-like extension to the fundus. In 6 cases the ulcer had healed at the time of histological examination. The general pattern of the distribution of severe gastritis was similar to that in the 9 other cases, the main area affected being the lesser curvature in both the fundus and antrum. It was concluded that localized areas of severe chronic gastritis occurred in the "antrum" in all cases of prepyloric ulceration. A tongue-like process of gastritis extended from the "antrum" to the fundus along the particular curvature on which the ulcer was situated. In prepyloric ulceration not the whole of the "antrum" was involved, as appeared to be the case in many specimens resected for mid lesser curvature gastric ulcer. The fact that the mucosa failed to return to normal after healing of the ulcer in 6 cases, confirmed the previous findings of Gear et al. (l97l), and suggested that chronic gastritis was not a secondary effect of the ulcer but could be an important factor in its pathogenesis.
Brooks (l985) found that patients with pyloric and duodenal ulcers showed a similar tendency to hypersecretion, but that peak acid outputs were significantly lower in the prepyloric ulcer group.
Lauritsen (l988, l989) stated that although it was generally believed that prepyloric ulcers resembled duodenal ulcers with respect to their acid secretory patterns, clinical trials had shown that patients with prepyloric ulcer disease were more resistant to treatment with H2-receptor antagonists than patients with duodenal ulcer disease. Their treatment remained a therapeutic challenge; for that reason the effects of a proton pump inhibitor (omeprazole) were studied in 176 patients with active prepyloric ulcers (all gastric ulcers below the angulus were considered to be "prepyloric"). The results were said to be encouraging.
The following are representative cases of ulceration within the pyloric sphincteric cylinder:
Case Reports #
Case 29.5 S.S., 32 year old female, complained of heartburn and intermittent epigastric pain of two years' duration. Radiographic examination showed a constant fleck of barium, indicating an active ulcer, within the pyloric sphincteric cylinder approximately 1.5 cm proximal to the pyloric aperture (Fig. 29.5). The cylinder was partially contracted, and remained contracted throughout the examination, with absence of normal, cyclical contraction and relaxation. Emptying of fluid barium was not delayed. Anti-ulcer therapy was commenced and proved beneficial. Endoscopy 5 months later showed a superficial, healing gastric ulcer in the anterior wall of the pyloric region, without evidence of malignancy. Follow-up endoscopy showed healing of the ulcer. The duodenum was normal. Considerable duodenogastric reflux was present.
![]() |
| Fig. 29.5. Case S.S. Ulcer (open arrow) within confines of pyloric sphincteric cylinder, which is partially contracted (filled arrows) |
Case 29.6 M.T., 20 year old male, complained of dyspepsia, loss of appetite and epigastric pain of several months' duration. Radiographic examination showed a constant fleck of barium, 1.5 cm in diameter, indicating an active ulcer, on the lesser curvature side of the pyloric sphincteric cylinder (Fig. 29.6). The cylinder was somewhat deformed, partially contracted and unchanging in appearance throughout the examination, with absent cyclical activity; it contained prominent oblique and circular mucosal folds which were drawn in towards the ulcer and did not change in direction (Fig. 29.6). The duodenal bulb filled poorly. Response to anti-ulcer therapy was poor. Endoscopy 3 months later confirmed the presence of a benign gastric ulcer in the pyloric region. Billroth I partial gastrectomy with truncal vagotomy in May l984 showed a chronic, benign gastric ulcer 1.0 cm proximal to the pylorus. Microscopic examination revealed absence of malignancy. The gastric mucosa showed evidence of chronic gastritis.
![]() |
| Fig. 29.6. Case M.T. Ulcer (open arrow) in sphincteric cylinder, which is deformed and permanently contracted (filled arrows). Circular, unchanging mucosal folds drawn in towards ulcer |
Case 29.7 A.J., 35 year old female, complained of intermittent epigastric pain and postprandial nausea of 5 years' duration. Radiographic examination showed an active ulcer niche on the lower lesser curvature at the commencement of the pyloric sphincteric cylinder (Fig. 29.7). Prominent oblique mucosal folds were drawn in toward the ulcer; (they may also be described as radiating fan-like from the ulcer). The sphincteric cylinder between the ulcer and the pyloric aperture was deformed, filled poorly, contained prominent oblique mucosal folds, and remained unchanging in appearance with absent cyclical activity. The mucosal folds remained fixed in the same position, showing no macroscopic movements. The duodenal bulb filled poorly. Endoscopic biopsy the same month showed a chronic, active ulcer in the prepyloric region without evidence of malignancy. The duodenum was normal. The gastric mucosa in the vicinity of the ulcer showed acute inflammatory cells in the lamina propria with areas of fibrosis and intestinal metaplasia, diagnosed as acute on chronic gastritis. Anti-ulcer therapy was commenced; the patient failed to return for follow-up.
![]() |
| Fig. 29.7. Case A.J. Ulcer (arrow) in sphincteric cylinder, which is deformed. Absent cyclical activity. Prominent, unchanging, oblique mucosal folds drawn in towards ulcer |
Case 29.8 L.J., 56 year old female, had a long history of dyspepsia and nocturnal epigastric pain. Radiographic examination showed a constant contraction of the pyloric sphincteric cylinder, the contracted region being approximately 2.0cm in length, with absence of normal cyclical contractile activity (Fig. 29.8). A constant niche on the greater curvature side of the contracted cylinder indicated an active ulcer. The pyloric aperture was "fixed" in the open position and rapid emptying of fluid barium occurred. Anti-ulcer therapy resulted in symptomatic improvement. Endoscopic biopsy a month later showed two active ulcers in the pyloric region, without macroscopic evidence of malignancy. Biopsy was difficult on account of narrowing, only fibrino-purulent material being obtained. Repeat endoscopy after 4 months showed healing of both ulcers; further endoscopy showed no residual ulceration, narrowing or other abnormality.
![]() |
| Fig. 29.8. Case L.J. Constant contraction of pyloric sphincteric cylinder (filled arrows). Ulcer in contracted cylinder (open arrow) |
Discussion #
The great majority, if not all, cases of chronic, benign ulcers in the pyloric sphincteric cylinder are associated with contraction of the cylinder. In a recent series of 20 consecutive cases of gastric ulceration within 3.0 to 4.0 cm of the pyloric aperture, we noted contraction of the cylinder in all. The degree of contraction may vary from moderate (Fig. 29.5) to severe (Fig. 29.8), and will have a bearing on the radiographic appearance. Contraction of the cylinder implies diminished or absent cyclical activity of its musculature (Chap. 13) which, in turn, may delay emptying of solids and hamper trituration (Chap.18). In some cases contraction is associated with deformity of the cylinder (Fig. 29.6, 29.7). Cyclical activity is absent in these cases as well.
Normally mucosal folds lie in a circular or spiral direction in the distended pyloric sphincteric cylinder, changing to longitudinal when the cylinder contracts (Chap. 13). (This is one of the best examples of co-ordinated movements of the muscularis externa and mucosa originally described by Forssell) (Chap. 13). As movements of the cylinder are diminished or absent in cases of local gastric ulceration, it is to be expected that mucosal fold movements will also be curtailed or absent. In addition some ulcers within the cylinder are associated with an "indrawing" and fixation of mucosal folds (Fig. 29.6, 29.7), further hampering their movements. It is surmized that the impeded or curtailed mucosal fold movements seen in cases of gastric ulceration within the cylinder, may further hamper the processes of expulsion and trituration.
It has been said that the acid-secretory characteristics of pyloric and duodenal ulcers are similar (Johnson l957, l966; Stadelmann et al. l97l; Brooks l985). The present findings show that there are important differences between ulcers within the pyloric sphincteric cylinder on the one hand, and duodenal ulcers (Chap. 30) on the other hand, as far as motility patterns of the cylinder are concerned.
References #
- Brooks FP. The pathophysiology of peptic ulcer disease. Dig Dis Sci l985, 30, Suppl ll, 15S-29S.
- Burge H, Gill AM, Lewis RH. The pyloric channel syndrome and gastric ulceration. Lancet l963, 1, 73-75.
- Dragstedt LR, Oberhelman HA, Evans SO, et al. Antrum hyperfunction and gastric ulcer. Ann Surg l954, 140, 396-404.
- Du Plessis DJ. The importance of the pyloric antrum in peptic ulceration. South Afr J Surg l963, 1, 3-11.
- Fisher RS, Cohen S. Pyloric sphincter dysfunction in patients with gastric ulcer. New Engl J Med l973, 288, 273-276.
- Fisher RS, Boden G. Reversibility of pyloric sphincter dysfunction in gastric ulcer. Gastroenterology l975, 69, 591-597.
- Foulk WT, Comfort MW, Butt HR, et al. Peptic ulcer near the pylorus. Gastroenterology l957, 32, 395-403.
- Garret JM, Summerskill WHJ, Code CF. Antral motility in patients with gastric ulcer. Amer J Dig Dis l966, ll, 780-789.
- Gear MWL, Truelove SC, Whitehead R. Gastric ulcer and gastritis. Gut l97l, 12, 639-645.
- Golden R. Antral gastritis and spasm. J Amer Med Assoc l937, 109, 1497-1500.
- Johnson HD. The clasification and principles of treatment of gastric ulcers. Lancet l957, 2, 518-520.
- Johnson HD. Love AHG, Rogers NC, et al. Gastric ulcers, blood groups, and acid secretion. Gut l964, 5, 402-411.
- Johnson HD. Gastric ulcer: classification, blood group characteristics, secretion patterns and pathogenesis. Ann Surg l965, 162, 996-1004.
- Knight CD. Hypertrophic pyloric stenosis in the adult. Ann Surg l961, 153, 899-910.
- Kwong NK, Brown BH, Whittaker GE, et al. Electrical activity of the gastric antrum in man. Brit J Surg l970, 57, 913-916.
- Lauritsen K. Effect of omeprazole and cimetidine on prepyloric gastric ulcer: double blind comparative trial. Gut l988, 29, 249-253.
- Lauritsen K. Omeprazole in the treatment of prepyloric ulcer: review of the results of the Danish Omeprazole Study Group. Scand J Gastroenterol l989, 24, Suppl l66, 54-57.
- Lawson HH. The pyloric antrum in patients with gastric ulcer. South Afr Med J l972, 46, 894-895.
- Lawson HH. A histological assessment of prepyloric ulceration and a hypothesis relating to acid secretion. Scand J Gastroenterol l98l, 16, Suppl 67, 141-147.
- Liebermann-Meffert D, Allgöwer M. The morphology of the antrum and pylorus in gastric ulcer disease. Prog Surg l977, 15, 109-139.
- Liebermann-Meffert D, Müller C, Allgöwer M. Gastric hypermotility and antropyloric dysfunction in gastric ulcer patients. Scand J Gastroent l98l, 16, Suppl 67, 5-7.
- Liebermann-Meffert D, Allgöwer M. Neuromuscular tissue defects and antropyloric dysfunction in peptic ulcer. Scand J Gastroent l98l, 16, Suppl 67, 111-113.
- Lilja B. Gastric block: a disturbance of gastric motive function. Acta Rad l953, 39, 353-367.
- Lilja B. Gastric motive function with particular reference to the activity of the conducting system in the stomach. Acta Rad l954, 41, 225-246.
- Lilja B. Motor activity of the stomach. Acta Rad l959, Suppl l80, 1- 94.
- Magnus HA. The pathology of peptic ulceration. Postgrad Med J l954, 30, 131-136.
- Meister H, Holubarsch CH, Haferkamp O, et al. Gastritis, intestinal metaplasia and dysplasia versus benign ulcer in stomach and duodenum and gastric carcinoma: a histotopographical study. Path Res Pract l979, 164, 259-269.
- Miller LJ, Malagelada JR, Longstreth GF, et al. Dysfunctions of the stomach with gastric ulceration. Dig Dis Sci l980, 25, 857-864.
- Murray GF, Ballinger WF, Stafford ES. Ulcers of the pyloric channel. Amer J Surg l967, 113, 199-203.
- Raffensperger EC. Time required for the development of pyloric muscle hypertrophy in an adult. Gastroenterology l955, 28, 458-462.
- Schrager J, Spink R, Mitra S. The antrum in patients with duodenal and gastric ulcers. Gut l967, 8, 497-508.
- Skoryna SC, Dolan HS, Gley A. Development of primary pyloric hypertrophy in relation to the structure and function of the pyloric canal. Surg Gynaec Obstet l959, 108, 83-92.
- Stadelmann O, Elster K, Stolte M, et al. The peptic gastric ulcer: histotopographic and functional investigations. Scand J Gastroenterol l97l, 6, 613-623.
- Steigmann F. Considerations on the diagnosis of large gastric ulcers and implications as to treatment. Amer J Dig Dis l943, 10, 88-93.
- Texter EC, Smith HW, Bundesen WE, et al. The syndrome pylorique: clinical and physiologic observations. Gastroenterology l959, 36, 573-579.
- Torgersen J. The muscular build and movements of the stomach and duodenal bulb. Acta Rad l942, Suppl 45, 1-191.










A
B






