Pylorospasm #
There has been much uncertainty about the concept "pylorospasm". For many years radiologists considered pylorospasm to be due to spasm of the pyloric ring, where the ring was equated with the pyloric sphincter. It was thought that spasm of the ring (or "sphincter") closed the pyloric aperture, thereby delaying gastric emptying and causing retention. In other words, whenever the barium-filled stomach showed delayed emptying, or failed to empty within a certain prescribed time (in the absence of an organic lesion), older radiologists were inclined to label the condition "pylorospasm". This diagnosis was made commonly, was usually accepted by clinicians, and probably had an erroneous bearing on the perception of many intra-abdominal conditions.
Radiological Features #
Hughson (1925) for example, stated that spasm of the pylorus (as manifested by delayed gastric emptying) formed the basis of the radiological diagnosis in many pathologic conditions of the gastrointestinal tract. The great majority of cases of radiologically diagnosed pylorospasm were directly attributable to pathological conditions either of the stomach itself or of other abdominal viscera. He quoted previous studies in which radiological examinations had revealed delayed gastric emptying, considered to be due to pylorospasm, in 27 percent of duodenal ulcer and 89 percent of gastric ulcer cases. This led him to believe that radiologists had thrown much light on the relation of pylorospasm to intra-abdominal disease.
Bastianelli (1925) had reservations about the above radiological interpretation of pylorospasm. He agreed that in certain patients, especially neurotic individuals, a type of pylorospasm of nervous origin could occur; this was defined as a more or less permanent closure of the pylorus, not relieved by contractions of the "antrum" as seen at radiological examinations. It is clear that in this instance spasm of the pyloric ring was inferred. A similar type of pylorospasm was reflex spasm, occurring as a result of lesions of other abdominal organs, e.g. pathology of the gall bladder or appendix. In these cases there was increased tonicity of the pyloric canal and pyloric ring (the term "canal" indicated the pyloric aperture). Reflex spasm, causing a delay in gastric emptying, could also occur as a result of gastric hyperacidity. However, referring to the work of Cole (1913), Bastianelli (1925) stated that in many instances the radiological observations could not be accepted without question. Pylorospasm was much more likely to consist of a tonic contraction of the entire "antrum" rather than an isolated contraction of the "sphincter", as physiological observations favoured a simultaneous contraction of the whole region. It appeared to him that the question of pylorospasm needed revision.
Deaver and Burden (1929) were also impressed by the frequent radiological diagnosis of pylorospasm in intra-abdominal conditions (where pylorospasm was equated with spasm of the pyloric ring, which was considered to be the sphincter). It led these surgeons to believe that disease of the gall bladder or appendix caused symptoms which were attributable to reflex pylorospasm. It was assumed, moreover, that reflex pylorospasm prevented regurgitation of alkaline duodenal contents into the stomach, causing gastric hyperacidity and ulceration. In order to alleviate the symptoms in gastric ulceration, duodenal ulceration and chronic cholecystitis, the now obsolete operation of hemi- sphincterectomy was devised. During this procedure the anterior half of the pyloric "sphincter" (i.e. the pyloric ring) was excised; in their view this prevented further pylorospasm and relieved the symptoms in most cases.
Problems of Definition #
What exactly is meant by pylorospasm? During conventional radiological examinations, with the patient in the erect position, and in the absence of an organic lesion in the upper gastrointestinal tract, it is not unusual to observe a delay in gastric emptying of liquid barium suspension. This, in many instances, is still considered to be caused by pylorospasm, by which is implied spasm of the pyloric ring, which is equated with the sphincter. The question may well be asked whether the ring is spastic in these cases. If it were, it could be expected to remain spastic irrespective of the position of the patient. In order to determine whether this is the case, the following investigations were done.
Patients and Methods #
Fifty adult, ambulatory out-patients, each showing a long, "hanging", atonic stomach with a marked delay in gastric emptying of liquid barium in the erect position (an appearance usually ascribed to pylorospasm), were selected for examination. These patients were encountered during the ordinary course of events, having been referred for routine radiographic study because of vague upper abdominal symptoms. None had any objective signs of upper gastrointestinal disease at a prior clinical examination. The following is a representative case:
Case Report
Case 20.1.J.B., 47 year old male. After swallowing the first 3 mouthfuls of Micropaque in the erect position, the stomach was seen to be of the long, hanging, atonic type, the sagging greater curvature forming the most dependent part (Fig. 20.1A). The distal part of the stomach curved upwards and was filled up to the presumed position of the pyloric ring. Peristalsis and cyclical contractions of the pyloric sphincteric cylinder were absent, with total absence of gastric emptying for the first 5 minutes. This would have been interpreted as "pylorospasm" by many investigators. The head of the examining table was then lowered to an angle of 45 degrees, while the patient was rotated 45 degrees onto the right side (i.e. the tilted left anterior oblique radiological position). Immediate emptying of liquid barium occurred in the continued absence of both peristalsis and contractions of the pyloric sphincteric cylinder, revealing a normal pyloric ring surrounding a patent aperture (Fig 21.1B). On re-assuming the erect position, gastric emptying ceased once again.
A![]() | B![]() |
| Fig. 20.1. A Case J.B. Erect position. Long, atonic stomach, the sagging greater curvature forming most dependent part. Absence of peristalsis, cyclical activity of sphincteric cylinder and emptying of fluid barium. B Case J.B. Oblique tilted position. Normal pyloric ring and patent aperture. Immediate emptying of fluid barium in continued absence of peristalsis and cyclical activity of sphincteric cylinder | |
In 49 of the patients the features were identical to the case quoted. The findings show that the delay in gastric emptying was not due to pylorospasm, in the sense that the pyloric ring was spastic, as neither spasm nor delayed emptying was present in the tilted oblique position; it would be highly improbable for spasm to manifest itself in the erect position only. It was much more likely that the delay in gastric emptying was due to one or both of the following factors: (1) primarily aperistaltic, hypotonic stomach; (2) the erect position of the subject. In these cases, in the erect position, the pyloric aperture is at a higher level than the lowermost part of the greater curvature, which bulges downward. While the aperture is patent, the lack of tone (Chap. 19) and/or cyclical contractions of the pyloric sphincteric cylinder (Chap. 18) causes failure of emptying. In the tilted oblique position the aperture is manipulated so as to become the lowermost part of the stomach. While contractions of the cylinder remain absent, passive, gravitational emptying of liquid content occurs, showing the aperture to be patent, without evidence of spasm of the ring. (In one of the 50 cases a delay in gastric emptying occurred in both the erect and the tilted oblique positions; the cause of this remained unclear.)
Discussion #
It appears possible that Hughson (l925), Deaver and Burden (l929) and others were led to believe that absent or delayed emptying of fluid barium in hypotonic stomachs in the erect position, was due to pylorospasm, which was equated with spasm of the pyloric ring. It was claimed, moreover, that such "pylorospasm" was a frequent accompaniment of intra-abdominal pathology. In the historical context it is of interest to note that Bastianelli (l925) questioned their radiological interpretation of "pylorospasm". Even today an inactive, hypotonic, barium containing stomach showing delayed or absent emptying in the erect position is often, and we believe mistakenly, ascribed to pylorospasm. According to Torgersen's views (l942) it would be highly unlikely for the pyloric ring (the right pyloric loop) as such, to become spastic; as no dividing line exists between the musculature of the ring and that of the remainder of the sphincteric cylinder, any possible spasm would involve the entire cylinder.
Pathogenesis #
Torgersen (1942) showed an illustration in which the canine canalis egestorius (i.e. pyloric sphincteric cylinder), in its entirety, was spastic. He postulated that the appearance of pylorospasm was identical to that seen in a maximal or near maximal normal contraction of the sphincteric cylinder (Chap. 13) during certain stages of vomiting (Chap. 26) and in cases of infantile hypertrophic pyloric stenosis (IHPS) (Chap. 23). All these conditions had the same anatomical "substratum", namely contraction of the musculature of the entire sphincteric cylinder.
Astley (1952) described 10 well-documented cases of infantile pylorospasm in which the spasm involved the canalis egestorius as defined anatomically by Forssell (1913) (Chap. 3). In all these infants, who presented with vomiting, a prepyloric narrowing simulating infantile hypertrophic pyloric stenosis was seen at the radiological examination. The narrowing persisted for periods ranging from 10 minutes to over an hour; it differed from IHPS in degree but not in the extent or shape of the area affected. Continued observation showed that it was neither constantly narrowed nor completely devoid of peristalsis as in IHPS; after a variable interval the narrowed segment relaxed to a certain extent and in some cases it eventually attained a normal calibre. In a few instances the relaxation occurred suddenly while in others intermittent contraction and relaxation was seen. There can be little doubt that these cases of infantile pylorospasm were due to spasm of the pyloric sphincteric cylinder. Astley (1952) mentioned the fact that the radiological appearance simulated a stage in the normal cycle of contraction of what he called the "prepylorus".
Wood and Astley (1952), during an investigation of the causes of vomiting in young infants, described the clinical findings in a group of 12 cases in which the symptoms closely resembled those of IHPS. Some of the cases previously mentioned by Astley (1952) appear to be included in this group. A palpable pyloric tumor was found in 8 of the cases (the term "tumor" indicated a clinically detectable swelling). It resembled the tumor of IHPS, although it differed in consistency, being softer, and it was less well defined. It was usually palpable immediately before or just after a vomit, relaxed quickly and could not be felt repeatedly; as the clinical findings resembled IHPS the condition was called "pseudo-pyloric stenosis". Radiological examination in 4 of the 12 babies showed infantile pylorospasm, i.e. a cylindrical prepyloric narrowing simulating IHPS. However, it lacked the constancy and aperistalsis of IHPS, and continued observation showed that it widened eventually. In 5 of the 12 babies who were operated upon, neither pyloric hypertrophy nor tumor was found, showing that the features were due to spasm of the sphincteric cylinder. In their investigations into the causes of vomiting in more than 100 infants, Astley (1952) and Wood and Astley (1952) did not describe any cases of pylorospasm in which spasm was limited to the pyloric ring.
Craig (l955) pointed out that a palpable, contractile tumor was present in 98 percent of infants with IHPS over the age of 2 weeks. The same significance could not always be attached to the palpation of a contractile pyloric tumor in babies under 2 weeks of age. Initially 2 cases were encountered, both babies under 2 weeks, in whom recurrent regurgitation was associated with a contractile pyloric tumor. Over a period of weeks the symptoms as well as the pyloric tumor disappeared, the only treatment having been daily gastric lavages. Because of the clinical features IHPS was excluded as a cause of the condition. Craig (l955) instituted a prospective study in which 21 infants less than 2 weeks of age, presenting with repeated vomiting but otherwise normal, were examined. Contractile pyloric tumors were palpated in l7. With repeated gastric lavages symptoms subsided within 7 to 14 days, while the tumors disappeared after a period of time varying from 4 weeks to 3 months. In a control group of 115 healthy newborn infants with uninterrupted progress and no feeding difficulties, a palpable pyloric tumor was felt in 25. Of the 21 who were followed up, the tumor disappeared within 6 weeks to 3 months. The pyloric tumors had a fusiform or spheroidal shape and a firm or distinctly hard consistency. They were felt to contract and relax repeatedly, became firmer as feeding continued, and were palpated at successive examinations. A feature of all cases was the large amount of mucus in the gastric lavages. Some of the cases were examined radiologically but this appeared to be incomplete and yielded little relevant information. One of the symptomatic babies, who had a large pyloric tumor resembling IHPS in all respects, was referred for operation, at which no tumor was found.
According to Craig (1955) these cases indicated that a hard, contractile pyloric tumor could be felt in the absence of organic change of the musculature. It was considered to be due to spasm of the fan-shaped pyloric musculature described by Cole (l928). It was evidence not of muscular hypertrophy but of muscular spasm, and resembled the cases of pseudo-pyloric stenosis previously described by Astley (l952).
Atkinson et al. (l957) stated that the concept of spasm of the pylorus presumably derived from the belief that a physiological sphincter existed at the pylorus. It was widely believed that the pyloric ring acted as a sphincter. However, during manometric studies they were unable to find any evidence of a physiological sphincter at the pylorus, and in no instance could a band of increased pressure be demonstrated anywhere at the pyloroduodenal junction (Chap. 15). Although phasic pressure waves were recorded repeatedly in a 4.0 to 5.0 cm long segment of the prepyloric region, no evidence of independent contraction was found at the gastroduodenal junction, i.e. at the pyloric ring. For most of the time the lumen surrounded by the pyloric ring or "sphincter" was more than 7.0 mm in diameter. The closure of the ring was intermittent and brief, occurring as part of the phasic contraction which periodically involved the whole pyloric region. Atkinson et al. (l957) concluded that the concept of spasm of the pyloric ring had been grossly overworked as an explanation for a variety of symptoms.
According to Levin (l971) pylorospasm could at times mimick the "elongated", narrowed pylorus of adult hypertrophic pyloric stenosis.
Swischuk (l978, l980) considered pylorospasm to be a spasm of the "antropyloric" region, by which was meant a tubelike, segmental area extending orally from the ring. It could be difficult to distinguish pylorospasm from some cases of IHPS; in pylorospasm, however, the narrowing was not as intense and there were slight changes in the configuration. A similar deformity of the antropyloric region could also occur in association with gastric ulceration in neonates.
Franken (l982) found infantile pylorospasm a difficult entity to define; the appearances could be very similar to those of IHPS on radiographic study. However, the narrowing seen in infantile pylorospasm was not as constant as in IHPS, and in infantile pylorospasm some peristaltic movement did occur in the affected area. It could be difficult to convince the surgeon that the patient had infantile pylorospasm and not IHPS.
Ultrasonic Features #
Direct viewing of the pyloric musculature is achieved by means of ultrasonic examination (Chap. 10). Blumhagen and Coombs (l98l) showed that a persistent contraction of the circular musculature of the "distal antrum and pylorus", creating a cylindrical muscle mass resembling IHPS, might be seen during ultrasonic examinations in infants. According to these authors, contraction of the "distal antrum" and pylorus (and not of the pyloric ring) constituted pylorospasm.
Blumhagen and Noble (l983) found that spasm of the "distal antrum and pylorus" could be differentiated ultrasonically from IHPS by measuring the single wall muscle thickness. Normally the muscle thickness in infants varies between 1.5 and 3.0 mm; in IHPS it varies between 3.0 and 6.0 mm. Whenever the single wall muscle thickness is 4.0 mm or more, it can be regarded as IHPS.
Wilson and Vanhoutte (l984) determined the true length of the pyloric muscle by means of ultrasonography in l7 normal infants; the range varied from 12.0 to 15.0 mm. Similar results were obtained by Graif et al. (l984), who found the mean length of the pylorus (pyloric musculature) to be 12.0 mm with a standard deviation of 3.7 mm. It is clear that this is the anatomical region which may contract during pylorospasm, i.e. a relatively long area which includes the pyloric ring, as opposed to an isolated contraction of the ring only. This was confirmed by Stunden et al. (l986), who measured the length of the pyloric canal in normal infants "with the pylorus in its most contracted state". The mean length of the canal was 8.3 ± 2.5mm, and on occasion it was up to 14.0 mm in length.
With longitudinal ultrasonic views of the pylorus Haller and Cohen (l986) found the length of the pyloric musculature in normal infants to be up to l8.0 mm. Ultrasonically the contraction of this muscular cylinder in pylorospasm could simulate IHPS. However, with spasm the contracted region was not quite as rigid as in IHPS, and the appearance changed on subsequent examinations.
Operative and Experimental Features #
Larson et al (l967) described 10 adult cases in whom radiographs showed clear evidence of adult hypertrophic pyloric stenosis (AHPS), i.e. a cylindrical pyloric narrowing (Chap. 24). At operation the stomach was found to be normal in 5, showing that the narrowing was of a temporary, spastic nature, in other words due to pylorospasm.
During operations on 5 suspected cases of AHPS, Bateson et al. (l969) noted that on touching the pylorus with a gloved finger, the pyloric and adjacent "antral" muscle contracted, becoming hard and pale; the affected region was approximately 2.5 cm in length and resembled AHPS, but the contraction was temporary and of a spastic nature.
Keet and Heydenrych (l97l) found that electrical and mechanical stimulation of the vagus trunks in the oesophageal hiatus of the diaphragm in canines, caused a 3.0 cm long cylindrical area of contraction in the pyloric region. It corresponded exactly to the anatomical pyloric sphincteric cylinder as described by Cunningham (l906), Forssell (l913) and Torgersen (l942), lasted as long as the stimulus was applied, and was clearly of a spastic nature.
Case Reports
The following are some of the cases of pylorospasm which we have encountered:
Case 20.2. R.G., 10 day old male infant was admitted for persistent vomiting. Upper gastrointestinal barium study showed a constant, string-like narrowing 2.0 cm in length in the pyloric region, clearly limited to the sphincteric cylinder (Fig. 20.2). It was associated with a concave indentation of the base of the duodenal bulb, the appearance resembling infantile hypertrophic pyloric stenosis. At laparotomy no pyloric tumor was found. There was some kinking of the duodenum, which was corrected, and in view of the radiologic findings a pyloromyotomy was done. A naso-jejunal tube was inserted and recovery was uneventful. The final diagnosis of the pyloric narrowing was spasm of the pyloric sphincteric cylinder.
![]() |
| Fig. 20.2. Case R.G. Constant spasm of pyloric sphincteric cylinder, simulating infantile hypertrophic pyloric stenosis. At operation no muscular hypertrophy was found |
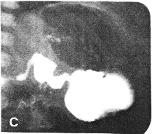
Case 20.3. B.F., 7 day old female infant presented with persistent, bile-stained vomiting since birth. Radiological study showed a tubular narrowing 2.0 cm in length in the pyloric region (Fig. 20.3). It conformed to partial contraction of the pyloric sphincteric cylinder with a prominent impression of the pyloric muscle knot on the lesser curvature side. There was total absence of cyclical contraction and relaxation of the cylinder, the pyloric aperture being fixed in the open or patent position. The duodenal cap was normal but there appeared to be some narrowing of the remainder of the first part of the duodenum. Infantile hypertrophic pyloric stenosis could not be excluded. Laparotomy revealed partial obstruction at the duodeno-jejunal junction due to ectopic pancreatic tissue in the intestinal wall and adhesions. The pylorus showed no organic lesion. After biopsy, severance of adhesions and pyloromyotomy, recovery was complete. The pyloric narrowing was diagnosed as spasm of the sphincteric cylinder.
![]() | ![]() |
![]() | ![]() |
| Fig. 20.3 A-D. Case B.F. Constant contraction of sphincteric cylinder. At operation no pyloric lesion was found | |
Case 20.4. J.P.W., 78 year old male was referred for upper gastrointestinal barium examination because of early satiety and poor appetite, with the provisional diagnosis of gastric carcinoma. No organic lesion was seen but there was a constant contraction of the pyloric sphincteric cylinder, containing longitudinal mucosal folds (Fig. 20.4). At times it relaxed somewhat but the range of rhythmic contraction and relaxation was severely restricted and normal cycles of maximal contraction and relaxation at a rate of 3 per minute did not occur. Gastroscopy was completely normal and the diagnosis of spasm of the pyloric sphincteric cylinder was made.
![]() |
| Fig. 20.4. Case J.P.W. Spasm of pyloric sphincteric cylinder. Gastroscopy revealed no organic lesion |
Case 20.5. H.O., 69 year old female, a known case of polycythaemia vera, splenomegaly, hepatomegaly and cholelithiasis, underwent cholecystectomy at which the stomach was proved to be normal. Because of a feeling of fullness in the epigastrium an upper gastrointestinal barium series was requested 10 days post-operatively. There was a persistent contraction of the pyloric sphincteric cylinder; occasionally it contracted maximally but never relaxed more than illustrated (Fig. 20.5). Normal cyclical contractions of the cylinder at 3 per minute were absent. The partial contraction of the cylinder fixed the pyloric aperture in the open position; at times duodenogastric reflux occurred through the patent pyloric aperture and contracted cylinder (Chap. 27). The contraction was associated with a concave impression of the base of the duodenal bulb. In view of the absence of an organic gastric lesion at operation, the condition was diagnosed as simple spasm of the pyloric sphincteric cylinder.
![]() |
| Fig. 20.5. Case H.O. Spasm of pyloric sphincteric cylinder. Pyloric aperture fixed in patent position. Intermittent duodenogastric reflux. No gastric lesion detected at cholecystectomy |
Case 20.6. W.J.G., 76 year old female was referred for radiographic studies because of loss of appetite. There was partial contraction of the pyloric sphincteric cylinder throughout the examination with absence of normal cyclical activity (Fig. 20.6). A prominent circumferential mucosal fold in the contracted cylinder raised the possibility of associated gastritis (Chap. 28). Gastroscopy showed no abnormality; it was noted that the pyloric aperture remained patent. At control barium studies a fortnight later the contraction had disappeared and normal cyclical activity was seen. The initial appearance was diagnosed as spasm of the pyloric sphincteric cylinder.
![]() |
| Fig. 20.6. Case W.J.G. Contracted pyloric sphincteric cylinder with prominent mucosal fold (arrow). Gastroscopy showed no organic lesion |
Discussion #
Accumulated evidence shows that it is very unlikely, if not impossible, for the pyloric ring as such, to become spastic. Anatomically the ring is not a purely muscular structure, but consists of muscular and mucosal/submucosal components (Chap. 11).
Cunningham (l906), Forssell (l913) and Torgersen (l942) showed that its muscular component is not a separate anatomical structure, but merely the aboral thickening of the musculature of the sphincteric cylinder. There is no dividing line between its musculature and that of the remainder of the cylinder. On anatomical grounds isolated spasm of the ring, without spasm of the entire cylinder, would be difficult to envisage.
Manometrically Atkinson et al. (l957) and others (Chap. 15) found that the ring did not act as a physiological sphincter in the sense that it caused a band of increased pressure and that it was capable of independent contraction. Contraction of the ring occurred only as part of intermittent, phasic contractions of the "whole pyloric region" (presumably the sphincteric cylinder).
Radiographically it was shown in 49 of 50 cases of so-called pylorospasm that spasm of the ring did not exist and that the aperture, in fact, was widely patent. The lack of peristalsis, lack of cyclical contractions of the sphincteric cylinder and delayed emptying in these cases could be explained on the basis of gastric hypotonicity (Chap. 19). It seems probable that in the past many cases have been diagnosed incorrectly as reflex "pylorospasm" (where pylorospasm was equated with spasm of the pyloric ring). Far from throwing much light on the relationship of pylorospasm to intra-abdominal disease, as Hughson (l925) would have it, radiology seems to have led to confusion in these cases.
It is clear, on the other hand, that spasm of the pyloric sphincteric cylinder as a whole, can and does occur. Torgersen (l942) was one of the first to draw attention to this entity and to explain the morphology on the basis of the underlying anatomy. Well documented cases have subsequently been described by Astley (l952), Wood and Astley (l952) and Craig (l955); the spasm of the "antropyloric region" described by Swischuk (l978, l980) and the infantile pylorospasm mentioned by Franken (l982) appear to be of a similar nature.
Although Larson et al. (l967) and Bateson et al (l969) did not refer to the pyloric sphincteric cylinder, it appears if the "antral" contractions which they observed at operation, were limited to this muscular entity. The temporary contraction or spasm described by Keet and Heydenrych (l97l) during experimental stimulation of the vagus trunks, clearly involved the sphincteric cylinder. The cylindrical contractions of the "distal antrum" and pylorus noted by Blumhagen and Coombs (l98l) and Blumhagen and Noble (l983) at ultrasonography, was called pylorospasm. It was not explained on the basis of the underlying anatomy as determined by Cunningham (l906), Forssell (l913) and Torgersen (l942), but, according to the description, appeared to involve the sphincteric cylinder. Ultrasound measurements of the "length of the pyloric muscle" (Wilson and Vanhoutte l984; Graif et al. l984) and the length of the "pyloric canal in its most contracted state" (Stunden et al. l986) also point to the existence of a muscular cylinder, which is liable to undergo spasm (Haller and Cohen l986).
Five new cases of pylorospasm in infants and adults in which spasm clearly involved the pyloric sphincteric cylinder have been described here.
It is concluded on anatomical, physiological, manometric, sonographic and radiographic evidence that spasm of the pyloric ring per se, is unlikely to occur; spasm of the entire pyloric sphincteric cylinder, on the other hand, can be demonstrated clearly.
One of the consequences of spasm of the sphincteric cylinder is that the pyloric aperture may be fixed in the open or patent position (Chap. 13); this may be a factor in the occurrence of duodenogastric reflux (Chap. 27). One of the adult cases described here had visible duodenogastric reflux and one of the infants presented with persistent bile- stained vomiting, indicating bile reflux.
Spasm of the cylinder implies absent or decreased cyclical contractions of this part of the stomach, normally occurring at a rate of 3 per minute in man (Chap. 13). This fact may readily be established during radiographic examinations. Decreased cyclical activity of the cylinder may lead to impaired trituration and delayed emptying of solids (Chap. 18).
References #
- Astley R. The radiology of "atypical" hypertrophic pyloric stenosis. Brit J Rad l952, 25, 342-350.
- Atkinson M, Edwards DAW, Honour AJ, et al. Comparison of cardiac and pyloric sphincters: a manometric study. Lancet l957, 273, 918-922.
- Bastianelli R. Pylorus spasm and its surgical treatment. Ann Surg l925, 81, 45-51.
- Bateson EM, Talerman A, Walrond ER. Radiological and pathological observations in a series of seventeen cases of hypertrophic pyloric stenosis of adults. Brit J Rad l969, 42, 1-8.
- Blumhagen JD, Coombs JB. Ultrasound in the diagnosis of hypertrophic pyloric stenosis. J Clin Ultrasound l98l, 9, 289-292.
- Blumhagen JD, Noble HGS. Muscle thickness in hypertrophic pyloric stenosis: sonographic determination. Amer J Roentg Rad Ther Nucl Med l983, 140, 221-223.
- Cole LG. Physiology of the pylorus, pilleus ventriculi and duodenum as observed roentgenographically. J Amer Med Assoc l913, 61, 762-767.
- Cole LG. The living stomach and its motor phenomenon. Acta Rad l928, 9, 533-545.
- Craig WS. Palpable contractile tumors in the newly born. Arch Dis Child l955, 30, 484-492.
- Cunningham DJ. The varying form of the stomach in man and the anthropoid ape. Trans Roy Soc Edin l906, 45, 9-47.
- Deaver JB, Burden VG. The surgery of pylorospasm. Ann Surg l929, 90, 530-534.
- Forssell G. Ueber die Beziehung der Röntgenbilder des menschlichen Magens zu seinem anatomischen Bau. Fortschr Geb Röntgenstr l913, Suppl 30, 1-265.
- Franken EA. Gastrointestinal Imaging in Pediatrics. Harper and Row, Philadelphia l982, 2nd Edit, p 131.
- Graif M, Itzchak Y, Avigad I, et al. The pylorus in infancy: overall sonographic assessment. Pediatr Radiol l984, 14, 14-17.
- Haller JO, Cohen HL. Hypertrophic pyloric stenosis: diagnosis using US. Radiology l986, 161, 335-339.
- Hughson W. Reflex spasm of the pylorus and its relation to diseases of the digestive organs. Arch Surg l925, 11, 136-151.
- Keet AD, Heydenrych JJ. Hiatus hernia, pyloric muscle hypertrophy and contracted pyloric segment in adults. Amer J Roentg Rad Ther Nucl Med l97l, 113, 217-227.
- Larson LJ, Carlson HC, Dockerty MB. Roentgenologic diagnosis of pyloric hypertrophy in adults. Amer J Roentg Rad Ther Nucl Med l967, 101, 453-458.
- Levin B. Miscellaneous gastric lesions. Sem Roentg l97l, 6, 193- 206.
- Stunden RJ, Le Quesne GW, Little KET. The improved ultrasound diagnosis of hypertrophic stenosis. Pediatr Radiol l986, 16, 200-205.
- Swischuk LE. Radiology of the Newborn and Young Infant. Williams and Wilkins Co, Baltimore l978, p 274.
- Swischuk LE. Radiology of the Newborn and Young Infant. Williams and Wilkins Co., Baltimore, 2nd ed l980, pp 364-381.
- Torgersen J. The muscular build and movements of the stomach and duodenal bulb. Acta Rad l942, Suppl 45, pp 79, 115.
- Wilson DA, Vanhoutte JJ. The reliable sonographic diagnosis of hypertrophic pyloric stenosis. J Clin Ultrasound l984, 12, 201-204.
- Wood BSB, Astley R. Vomiting of uncertain origin in young infants. Arch Dis Child l952, 27, 562-568.









