Anatomy of the Pyloric Ring #
In fresh specimens a narrow (3.0mm to 4.0 mm) annular thickening, the pyloric ring, is felt in the wall of the gut at the gastro-duodenal junction. At laparotomy it may be difficult to palpate (Edwards and Rowlands l968), due to the effects of muscle relaxants administered during anaesthesia. On radiographs taken during the motor quiescent phase of the interdigestive myoelectric complex, the ring presents as a deep, clearcut, annular indentation separating the barium in the lumen of the stomach from that in the duodenum (Fig 11.1).
| Fig. 11.1. Radiograph of normal pyloric ring (arrow) in motor quiescent phase of interdigestive myoelectric complex |
![]() |
Radiographic Anatomy #
Edwards (l96l) found the length of the ring, as measured on radiographs, to vary between 1.0mm and 12.0mm; the mean length was 1.7mm. It was not stated whether these measurements were taken during motor quiescent or during contraction phases. (Comment: the term "width" is preferred to "length" as used by Edwards. Normally, the width of the pyloric ring may vary, depending on the stage of contraction of the pyloric sphincteric cylinder, as described in Chapter 13).
Present Investigations #
The width and height of the pyloric ring, and the diameters of the pyloric aperture, sphincteric cylinder and duodenal bulb, were measured on radiographs of 10 adult subjects, taken at a time when no visible motor activity was evident, i.e. during the motor quiescent phase of the interdigestive myoelectric complex (Fig 11.2, Table 11.1). All subjects had been referred for radiographic examination because of vague upper abdominal symptoms. In none could an organic lesion be demonstrated; clinically and radiologically the stomach and duodenum were considered to be normal in all. The mean width of the ring was 4.7mm and the mean height 11.1mm; the depth was approximately the same on the greater and lesser curvature sides.
![]() |
| Fig. 11.2. Diagram of pyloric ring in motor quiescent phase. W, width; H, height; DB, duodenal bulb; PA, pyloric aperture; PSC, pyloric sphicteric cylinder |
The inner margin of the ring surrounds the pyloric aperture, i.e. the opening by which the lumen of the stomach communicates with that of the duodenum. In the motor quiescent phase the diameter of the aperture varied from 5.0 to 13.0mm, with a mean of 8.7mm. The mean diameter of the sphincteric cylinder was 57.1mm, and the mean diameter of the duodenal bulb 35.8mm. (Comment: Owing to magnification factors the real measurements will be approximately four-fifths of the figures given).
Table 11.1 Radiographic measurements during the motor quiescent phase of the interdigestive complex
| Case | Width of ring (mm) | Height of ring (mm) | Diameter Aperture | Diameter sphincteric cylinder (mm) | Diameter duodenal bulb (mm) |
| 1 | 4.0 | 15.0 | 11.0 | 60.0 | 45.0 |
| 2 | 5.0 | 13.0 | 10.0 | 61.0 | 38.0 |
| 3 | 6.0 | 11.0 | 6.0 | 54.0 | 26.0 |
| 4 | 4.0 | 11.0 | 6.0 | 64.0 | 30.0 |
| 5 | 7.0 | 14.0 | 11.0 | 50.0 | 40.0 |
| 6 | 8.0 | 13.0 | 13.0 | 74.0 | 40.0 |
| 7 | 3.0 | 5.0 | 6.0 | 60.0 | 50.0 |
| 8 | 3.0 | 11.0 | 10.0 | 40.0 | 35.0 |
| 9 | 4.0 | 6.0 | 9.0 | 45.0 | 26.0 |
| 10 | 3.0 | 12.0 | 5.0 | 63.0 | 28.0 |
| Average | 4.70 | 11.1 | 8.7 | 57.1 | 35.8 |
Conclusion
It is concluded that the pyloric ring causes an appreciable constriction of the lumen at the gastroduodenal junction. Furthermore it is seen that the pyloric aperture is patent during the motor quiescent phase.
Microscopic Anatomy #
Illustrations of microscopic sections of the normal pyloric ring are occasionally encountered in published papers. In most instances the purpose is to illustrate some feature of the stomach in the vicinity of the pylorus and the ring is seen incidentally. On examining such illustrations the anatomical build of the ring may be studied.
Horton (l928) illustrated 3 normal stomachs sectioned 6 hours post-mortem. In all it is seen that the pyloric ring is not a structure consisting solely of muscular tissue. While its "base" is formed by muscularis externa, the top or inner part of the ring( i.e. the part surrounding the aperture) consists of a mucosal fold (made up of a core of submucosa with a layer of mucosa on each surface, as described in Chapter 5). In Horton's illustration of a 6 months old foetus the height of the outer muscular component of the pyloric ring is 14.0mm and the height of the inner mucosal fold, or mucosal component, also 14.0mm. In a 4 month old infant the muscular division of the ring measures 3.4cm in height and the mucosal division 2.0cm. In a one year old child the measurements are 3.5cm and 1.5cm respectively. It is clear in these subjects that the inner part of the pyloric ring consists of mucosal and submucosal, and not of muscular tissue.
Cole (l928) held that the abrupt interruption separating the lumen of the stomach from that of the duodenum (i.e. the pyloric ring) is a muco-membranous fold consisting solely of mucosa and submucosa with its acompanying muscularis mucosae. The circular fibres of the muscularis externa end at the base of the "pyloric fold", which should be looked upon as a valve and not as a sphincter, according to Cole (l928). Scott's (l946) observations led him to conclude that normally a thick mucosal fold caps the pyloric "sphincter" (from which it may be concluded that the ring consists of both the "sphincter" and an overlying mucosal fold).
In illustrations of Manning and Gunter (l950) the following measurements may be made: in a 66 year old subject the external muscular component of the ring is 3.0cm in height, and the inner mucosal/submucosal component 2.5 cm. In a 78 year old subject the figures are 2.5cm and 2.0cm respectively, and in a 58 year old subject 3.5cm and 2.0cm respectively. Williams (l962) illustrated two fresh, adult, partial gastrectomy specimens. In one the muscular component of the ring measures l8.0mm in height and the mucosal/submucosal component 9.0mm. In the other the figures are 21.0mm and 11.0mm respectively.
Present investigations #
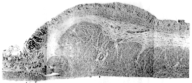
Although the nature and function of the pyloric ring is often debated, few deliberate attempts have been made to determine its microscopic anatomy. Consequently sections of the ring were done more than 6 hours post-mortem in 7 subjects varying in age from 9 months to 83 years, who had succumbed to non-gastrointestinal causes; a total of 20 sections were examined (Table 11.2). In all cases the pyloric ring is seen to consist of muscular and mucosal/submucosal components (Fig 11.3). For instance, in a 9 month old subject the muscular component is seen to be 2.0mm in height, and the overlying mucosal component 1.0mm. In a 5 year old subject the approximate figures are 5.5mm and 1.5mm respectively, and in a 44 year old subject 5.5mm and 1.5mm respectively.
![]() |
| Fig. 11.3. Microscopic section of normal pyloric ring. The muscular component measures 4.5 mm, the mucosal/submucosal component 1.5 mm in height |
Table 11.2 Results of postmortem examination in seven subjects
![]() |
| Fig. 11.3. Microscopic section of normal pyloric ring. The muscular component measures 4.5 mm, the mucosal/submucosal component 1.5 mm in height |
Table 11.2 Results of postmortem examination in seven subjects
| Subject | Age | Sex | Specimen number | Total wall thickness (mm) | Thickness of muscle layers | Thickness of mucosal/submucosal component |
| A.R. | 9m | M | 1 | 3.0 | 2.0 | 1.0 |
| 2 | 3.0 | 2.0 | 1.0 | |||
| 3 | 3.5 | 2.5 | 1.0 | |||
| C.J. | 5y | M | 4 | 7.0 | 5.5 | 1.5 |
| 5 | 6.0 | 5.0 | 1.0 | |||
| 6 | 6.5 | 5.5 | 1.0 | |||
| 7 | 7.0 | 5.5 | 1.5 | |||
| A.W. | 34y | M | 8 | 6.5 | 5.0 | 1.5 |
| 9 | 6.0 | 5.0 | 1.0 | |||
| D.J. | 44y | M | 10 | 7.0 | 5.5 | 1.5 |
| 11 | 7.0 | 5.5 | 1.5 | |||
| 12 | 7.0 | 5.5 | 1.5 | |||
| 13 | 6.0 | 5.0 | 1.0 | |||
| 14 | 6.5 | 5.0 | 1.5 | |||
| K.P. | 55y | F | 15 | 5.0 | 3.5 | 1.5 |
| 16 | 5.5 | 4.0 | 1.5 | |||
| 17 | 5.0 | 4.0 | 1.0 | |||
| L.S. | 76y | M | 18 | 11.0 | 9.0 | 2.0 |
| A.W. | 83y | F | 19 | 6.5 | 5.5 | 1.0 |
| 20 | 6.5 | 5.5 | 1.0 | |||
y = years
m = months
Conclusion
It is concluded that the pyloric ring consists of both muscular and mucosal/submucosal components. In anatomical specimens the muscular component accounts for approximately two-thirds of the total height of the ring, and the overlying mucosal/submucosal component for one-third. It is known that post-mortem autolysis of the mucosa sets in rapidly; Williams (l962) also pointed out that fixation diminishes the turgescence of the mucosal folds, contracts the stomach and reduces the submucosal space, so that sections after fixation are a poor representation of the living state. It may be concluded that the mucosal/submucosal component of the ring forms a more prominent part during life than would appear from microscopic sections.
Sonographic Anatomy #
In transverse sonographic sections the normal pylorus presents as a hypoechoic ring with a central echogenic core (Chap 10, Fig 10.1). By comparing the sonographic image with histological sections Blumhagen and Coombs (l98l) were able to show that the hypoechoic ring corresponds to the muscularis externa layer of the wall, while the more echogenic central core is formed by the mucosal and submucosal layers (including the muscularis mucosae). By means of sonography the relative extent of the muscular and mucosal/submucosal elements of the ring can be determined accurately in normal, living subjects under physiological conditions.
In infants, Stunden et al (l986) found the maximum overall diameter of the normal pyloric ring (presumably with the aperture patent) to be 13.0mm. The hypoechoic muscular layer was 3.0mm in thickness. (The term "thickness" in sonography is synonymous with "height" in microscopic anatomy). The minimum overall diameter (presumably with the aperture closed) was 7.0mm, giving a radius of 3.5mm. In these cases the muscle thickness was 1.0mm, and the mucosal/submucosal layer consequently 2.5mm.
Stringer et al (l986) found the thickness of the mucosal/submucosal layer to vary from 2.5mm to 3.5mm in normal infants. According to Swischuk (l989) the muscularis externa component of the ring usually measures 1.0mm in thickness and the mucosal/submucosal component between 2.5mm and 3.5mm in normal infants. Minor variations have been found by other authors (Chap 10).
Present Investigations #
Transverse sonographic sections of the contracted pylorus were obtained in 10 subjects without gastrointestinal symptoms, ranging in age from one month to 73 years; in all a typical "doughnut" appearance was seen (Fig 10.1). In all subjects it was clear that the ring-like, hypoechoic outer muscular layer was equal to, or thinner than the inner, echogenic mucosal/submucosal component of the ring. For instance, in a 5 year old child the radius of the ring was 6.0mm, the thickness of the muscular layer 3.0mm, and that of the mucosal/submucosal layer 3.0mm. In a 73 year old male the radius was 11.0mm, the thickness of the muscle layer 5.0mm, and that of mucosa 6.0mm. It is concluded that, during life, the muscular and mucosal/submucosal components of the ring are more or less equal in height.
Discussion #
Many authorities look upon the pyloric ring as a sphincter (Chapter 2), implying that it is a purely muscular structure. At the other extreme Cole (l928) considered it to be a muco- membranous fold containing no muscular fibres at all. The present microscopic and sonographic images show that the ring has both muscular and mucosal/submucosal divisions. While the outer or peripheral part is formed by muscularis externa, the inner part of this muscular rim is capped by a fold of mucous membrane. With microscopy the height of the inner mucosal/submucosal division appears to be approximately one third that of the muscular part. Sonography of the normal, living ring (which is more accurate than microscopy in this instance, for reasons stated) shows that the muscular and mucosal/submucosal divisions are more or less of equal height in children and adults; in newborn infants the muscular division accounts for one-third, and the mucosal/submucosal division for two-thirds of the height of the ring.
In view of these findings it appears improbable that the pyloric ring as such constitutes a
sphincter in the usually accepted sense.
References #
- Blumhagen JD, Coombs JB. Ultrasound in the diagnosis of hypertrophic pyloric stenosis. J Clin Ultrasound l98l, 9, 289-292.
- Cole LG. The living stomach and its motor phenomenon. Acta Rad l928, 9, 533- 545.
- Edwards D. Some radiological aspects of pyloric disease. Proc Roy Soc Med l96l, 54, 933-937.
- Edwards DAW, Rowlands EN. Physiology of the gastroduodenal junction. In: Handbook of Physiology, Sect 6, Vol 4, Motility. Edit Code CF. American Physiological Society, Washington DC, l968, l985-2000.
- Horton BT. Pyloric musculature with special reference to pyloric block. Amer J Anat l928, 41, 197-225.
- Manning IH, Gunter GU. Prolapse of redundant gastric mucosa through the pyloric canal into the duodenum. Amer J Path l950, 26, 57-73.
- Scott WG. Radiographic diagnosis of prolapsed redundant gastric mucosa into the duodenum, with remarks on the clinical significance and treatment. Radiology l946, 46, 547-568.
- Stringer DA, Daneman A, Brunelle F, et al. Sonography of the normal and abnormal stomach (excluding hypertrophic pyloric stenosis) in children. J Ultrasound Med l986, 5, 183-188.
- Stunden RJ, Le Quesne GW, Little KET. The improved ultrasound diagnosis of hypertrophic pyloric stenosis. Pediat Radiol l986, 16, 200-205.
- Swischuk L. Imaging of the Newborn, Infant and Young Child. Williams Wilkins Co, 3rd Edit, Baltimore l989, pp 394-413.
- Williams I. Closure of the pylorus. Brit J Rad l962, 35, 653-670.


